指骨血管沟

手指的关节处静脉好像有结,不痛不痒,求助中.
图片尺寸577x431
但是压血管是有技巧的,不是前后压,上下压和直接压伤口,而是左右压,捏
图片尺寸549x395
跟疼.怎么回事
图片尺寸600x800
图片
图片尺寸1080x897
手诊
图片尺寸566x415
其实拇指血管可以这样接
图片尺寸1440x1080
指动脉皮瓣
图片尺寸581x389
图6-226指掌掌侧表面观图6-227手指皮下丰富血管网(掌侧)图6-228手指
图片尺寸2506x1624
手指静脉窦图片
图片尺寸1200x797
指动脉背侧支解剖
图片尺寸1600x1200
手指血管鼓起硬化
图片尺寸1490x988
手指血管鼓起硬化
图片尺寸765x886
我手指弯曲的地方为什么青筋鼓起能看到青色血管
图片尺寸1032x581
(图) 中指动脉移位于环指吻合,小指邻指皮瓣移位覆盖环指创面
图片尺寸1145x777
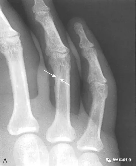
骨折线,从恰当的角度观察时,通常比骨骼中的正常线状影如滋养血管沟影
图片尺寸472x579
骨干的滋养血管沟,在骨干部分见低密度条 形透光区
图片尺寸1080x810
第五掌骨基底骨皮质不连续,这个似乎比较可靠.骨内需注意血管沟.
图片尺寸640x784
你的小拇指上是否有这个?
图片尺寸550x371
张的美篇
图片尺寸1080x1440
中心静脉穿刺 —— 三思而后行|导管|血管|腔静脉|颈动脉_网易订阅
图片尺寸617x552