换牙期x光照
图片尺寸1734x1280
6岁换牙牙片!
图片尺寸1920x1080
换牙期牙片分享
图片尺寸1280x811
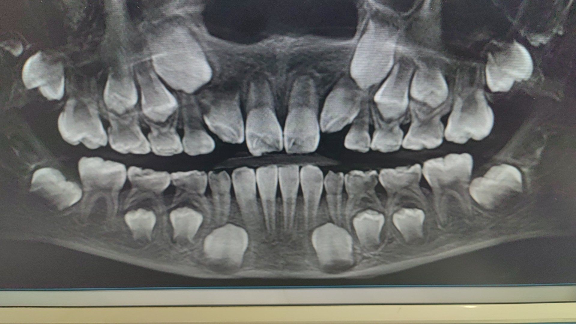
宝贝换牙记
图片尺寸1292x626
换牙期幼崽的x光片
图片尺寸1697x1080
12岁,建议拍张片子看一看
图片尺寸1919x1080
第一次来拍牙片!
图片尺寸1702x1276
图片尺寸1019x1280
看看换牙情况 时隔一年半,我们又换掉了两颗二号牙,看看现在的x光片吧
图片尺寸1920x960
孩子替牙期,一定要拍个片子
图片尺寸1693x883
这是一个儿童牙医接诊的儿童,家长说12岁了只换牙4颗,拍过片子后发现
图片尺寸690x484
换牙期幼崽的x光片
图片尺寸1080x1484
我家六岁半了,一颗没长,也没换牙,等七岁不长也去看 5月前·广东 0
图片尺寸1920x1440
孩子换牙时乳牙没掉恒牙就长出来了,这种情况可以先观察或者去医院
图片尺寸2160x1160
儿医小课堂 262
图片尺寸1059x671
孩子换牙期间牙齿长不出来,需要拍个片ai.当妈妈的不细心,以
图片尺寸1280x1707
7周岁小朋友的牙片
图片尺寸1920x2560
科普一下没换牙的x光片#口腔科普#宝贝换牙·10月前邢台 金融 顾问
图片尺寸1440x1080
看牙医拍x光您需要担心辐射问题吗
图片尺寸600x530
根管治疗时,拍牙片是很有必要的,并且至少要保证3张牙片
图片尺寸500x667