支抗

每次去复诊都有听到很多套友们害怕打支抗钉,刚开始我也一直没有勇气
图片尺寸1280x960
打骨钉和不打骨钉的区别在哪三点区别看清正畸支抗钉作用
图片尺寸500x311
牙齿矫正打支抗钉
图片尺寸500x324
拔牙 支抗钉的运用
图片尺寸400x256
这周有个小意外,由于智齿没有拔,导致有颗支抗钉松了,医生说后面
图片尺寸1080x1439
矫正牙齿为什么要打支抗钉
图片尺寸466x353
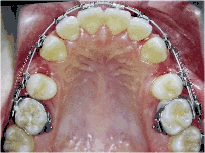
临床病例应用靴形曲拉尖牙向后时增强后牙支抗(上牙合面像)
图片尺寸768x512
正畸支抗钉除了能内收龅牙,还能调整中线歪上下中线对_圈子-新氧美容
图片尺寸1125x1126
支抗钉手柄 普特支抗钉工具 种植支抗钉螺丝起牙科口腔用旗舰正品【3
图片尺寸800x800
牙齿矫正中的支抗钉有什么用,你需要打吗?
图片尺寸1080x679
隐适美隐形矫正支抗牵引
图片尺寸600x329
正畸中的支抗
图片尺寸684x418
口腔科正畸项目—— 一种新的种植支抗技术的临床应用
图片尺寸515x344
一例种植 种植支抗钉术病例分享
图片尺寸1080x810
矫正打支抗钉,你怕了?
图片尺寸400x299
正畸支抗钉打与不打的区别可大啦,因为它的作用很神奇哦
图片尺寸550x501
种植支抗钉(骨钉)知多少!
图片尺寸1920x1080
微种植体支抗钉在内收过程中所产生的副作用原创
图片尺寸631x298
注意啦正畸支抗钉的植入位置不是固定滴颧牙槽嵴部位要注意这些
图片尺寸633x487
看看支抗钉的收缝魔力支抗钉
图片尺寸1080x1920