支气管扩张x线

分享一期工作常见,典型的病例,来源网络#抖音创作者大会话题 - 抖音
图片尺寸1008x762
肺炎解析(2)-慢性支气管炎 - 丁香园论坛
图片尺寸2900x1800
支气管扩张症的x线与ct特征
图片尺寸600x1185
考虑:支气管扩张
图片尺寸640x853
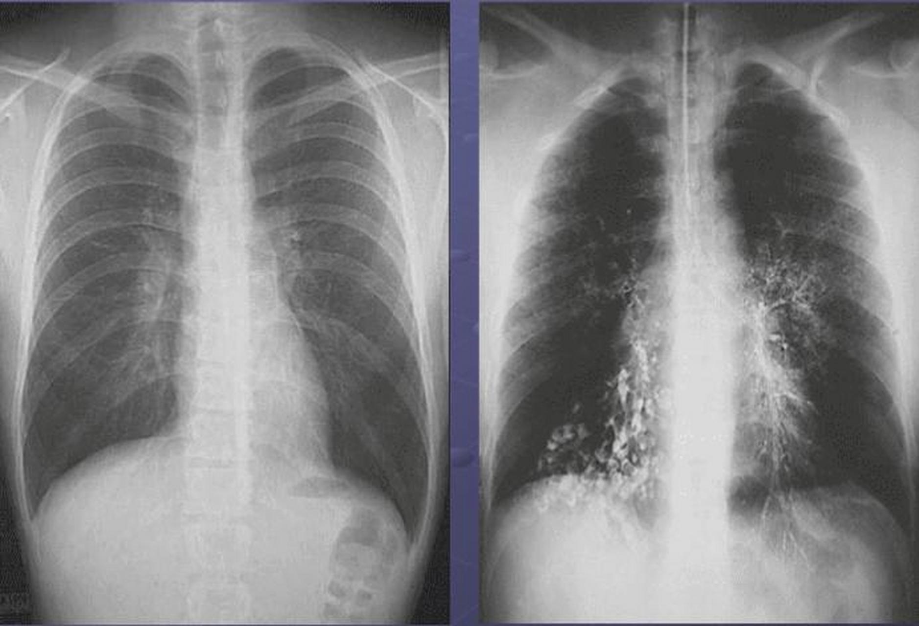
(a)后前位x线显示平行分布的分支线状影(轨道征),代表支气管扩张.
图片尺寸1080x455
15种支气管扩张病因的影像学表现│以影识病
图片尺寸1080x1031
胸部x线检查可见以基底前部为主的小结节,支气管扩张,肺不张或瘢痕(图
图片尺寸1067x571
图4-42 支气管扩张x线表现a.胸部正位像;b.侧位像.
图片尺寸598x372
15种支气管扩张病因的影像学表现│以影识病
图片尺寸1080x955
支气管扩张典型图片
图片尺寸750x1000
男性45岁支气管扩张多年
图片尺寸3060x4080
15种支气管扩张病因的影像学表现│以影识病
图片尺寸1080x441
成都治支气管扩张哪家医院好_手机搜狐网
图片尺寸608x484
支气管扩张
图片尺寸405x450
(图) 左肺支气管扩张
图片尺寸1081x1230
3类支气管扩张相关疾病的影像学(多图)
图片尺寸604x570
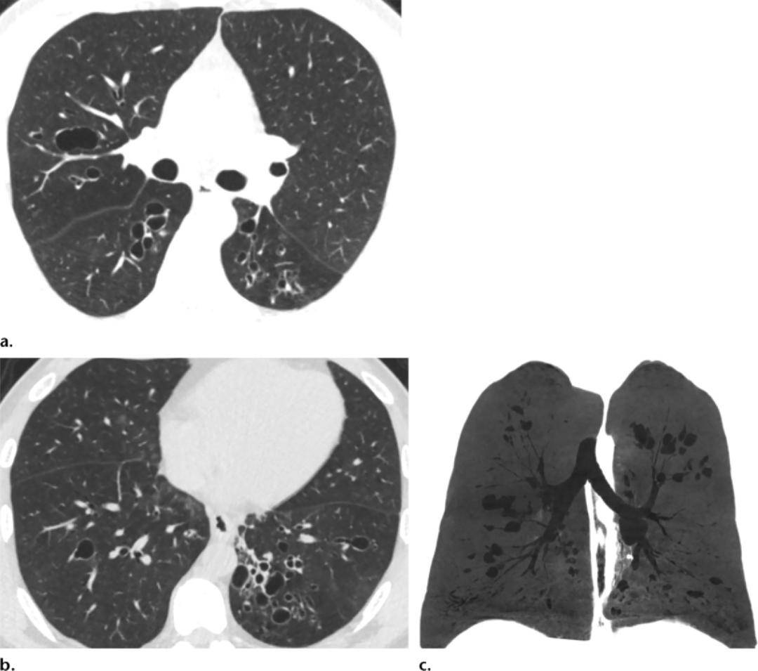
囊状支气管扩张x线片下的气道表现为显著的囊腔,呈卷发状或蜂窝样大小
图片尺寸640x624
考虑支气管炎想看看各位老师有没有其他看法本人技士
图片尺寸3024x4032
15种支气管扩张病因的影像学表现│以影识病
图片尺寸1080x463
支气管扩张症具有复发率高,病程长,肺功能进行性下降等特点,严重
图片尺寸1877x1280