支气管肺炎胸片

我国小儿支气管肺炎主要为细菌感染,以肺炎链
图片尺寸1079x845
支气管炎改变这个词往往都是在影像学报告上所说的,就是说从胸片
图片尺寸1890x2481
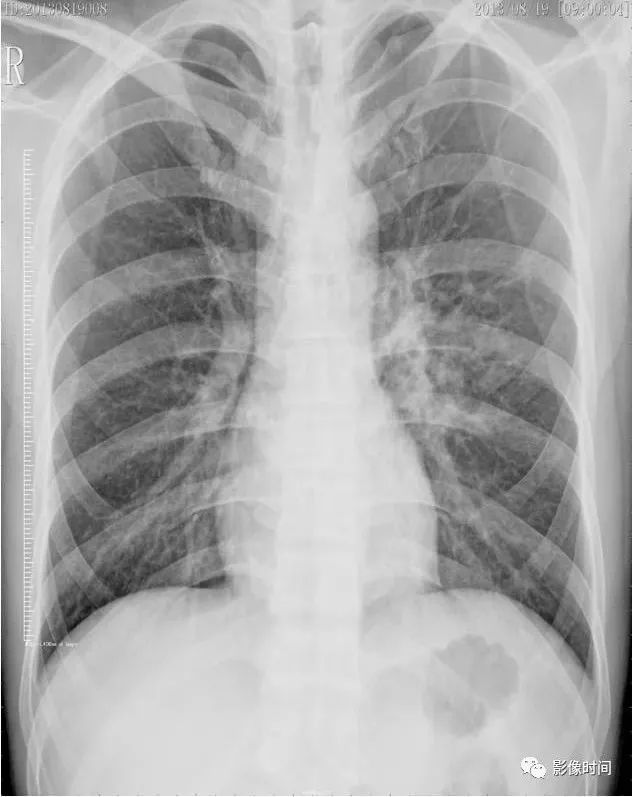
拍了胸片提示一个双侧支气管肺炎,右侧为主(如图:蓝色区域是正常心脏
图片尺寸828x828
胸片可见两肺弥漫炎性渗出影,因此诊断为小儿支气管肺炎
图片尺寸1200x900
其它 病例分享 重症支原体肺炎 写美篇入院当天的胸片:两肺纹理增强
图片尺寸2000x2667
中医儿科学课件资料 正常胸片 支气管肺炎
图片尺寸1080x810
小儿支气管肺炎的诊断
图片尺寸418x356
a普通型患者,胸片提示两肺纹理增多增粗,散在小斑片条索影b重型患者
图片尺寸900x915
肺的x线支气管肺炎儿童
图片尺寸700x623
支原体肺炎影像分析
图片尺寸960x720
孩子3周岁多点,支气管肺炎入院治疗,6天后,孩子明显好转,医生依然让
图片尺寸768x1024
小儿肺炎早期症状,这几点你中招了吗?赶紧行动起来预防
图片尺寸607x455
经典胸片展示之三--支气管扩张
图片尺寸640x612
胸片如何看肺炎,这篇文章帮你立刻入门!
图片尺寸1000x796
胸片如何看肺炎这篇文章帮你立刻入门
图片尺寸1080x1347
儿童肺炎时胸片怎么看呢
图片尺寸692x691
小孩得了肺炎,我们在日常中该如何护理呢? 正常胸片
图片尺寸1080x455
胸片中的"肺纹理增粗,肺纹理增重"是什么意思?严重吗?
图片尺寸1200x676
病例 1:同一小叶性肺炎患者于同日拍摄的胸片和肺 ct.
图片尺寸633x797
胸片如何看肺炎,这篇文章帮你立刻入门!
图片尺寸1000x600