放射导板

全口种植放射导板
图片尺寸1242x1656
用于手术的辅助导板.
图片尺寸690x518
黏膜支持式导板(放射导板)
图片尺寸640x553
51 放射导板的制作
图片尺寸658x512
放射导板
图片尺寸1799x1191
解密导光板是什么?它的特点及分类有哪些?
图片尺寸450x300
深圳观澜源头厂家供应激光打点导光板,led扩散导光板非标可定制
图片尺寸1920x1362
厂家供应装饰类导光板,可以裁切热弯各种形状
图片尺寸1920x1278
广州导光板扩散板打点加工 适合大批量生产
图片尺寸748x560
肺部肿瘤3d打印导板,通过长针准确植入放射性粒子
图片尺寸510x285
led筒灯激光导光板,导光板网点设计
图片尺寸1226x754
搜了网为您找到42条led筒灯亮度的相关厂家信息
图片尺寸500x321
导光板,方晟纳米导光板,透明导光板 超薄灯箱专用导光板
图片尺寸806x799
车载导光板生产厂家,海宁车载导光板,谷麦光电 查看
图片尺寸700x535
产品展示
图片尺寸1600x1200
数字化放射种植导板 让种植更高效 让患者_哔哩哔哩_bilibili
图片尺寸1834x1080
基于放射导板的种植导板 (图片来自香港种植中心周立强医生)需要殖鲻
图片尺寸1080x389
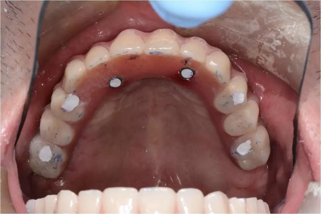
将放射导板戴入患者口内,首先检查垂直高度是否合适,笑线是否协调.
图片尺寸1080x820
肺部肿瘤3d打印导板,通过长针准确植入放射性粒子
图片尺寸509x343
数据匹配,模拟植体植入△制作临时义齿及放射导板案例具体操作如下
图片尺寸1080x721