斑釉牙

斑釉症,又称氟斑牙,黄斑牙,多发生在恒牙,乳牙很少见
图片尺寸1147x645
牙菌斑怎么根治?
图片尺寸1331x608
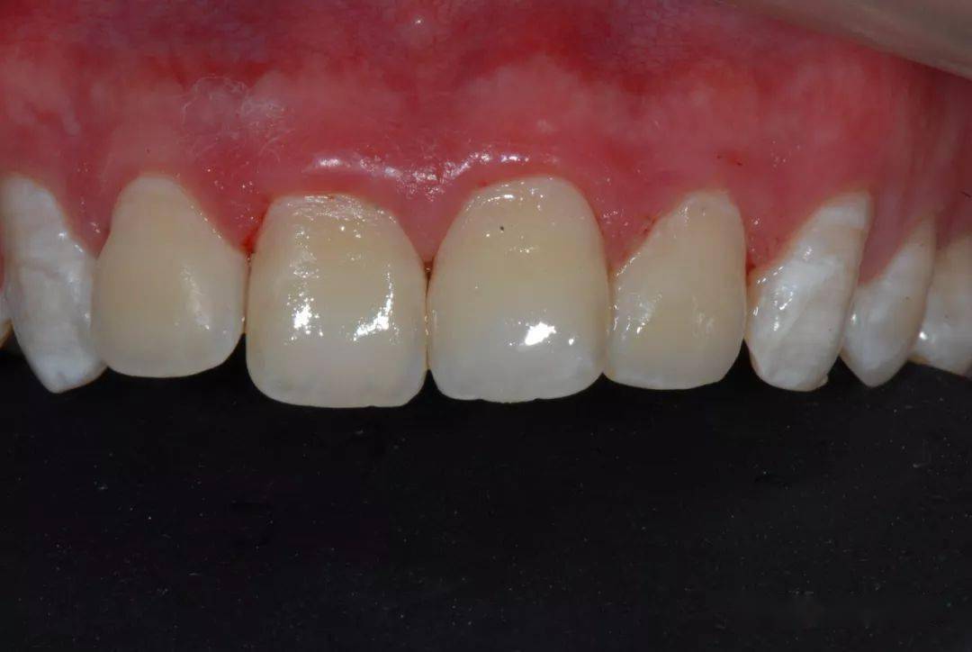
阳城二院朝阳口腔氟斑牙美白一例
图片尺寸1600x1200
氟牙症氟牙症又称氟斑牙或斑釉牙.
图片尺寸406x217
严重氟斑牙,伴牙釉质缺损,铸瓷贴面修复_大夫
图片尺寸609x288
关于氟斑牙(氟牙症)
图片尺寸1075x865
色素牙
图片尺寸268x205
牙医学堂渗透树脂治疗前牙大面积釉质白斑
图片尺寸962x646
昆山牙博士说这是氟牙症又称斑釉牙,是牙齿发育时期人体摄入氟量过高
图片尺寸452x300
幼儿牙釉质发育不全的最新治疗方法
图片尺寸250x250
氟斑牙患病的主要症状是什么?
图片尺寸400x211
瓷贴面都适用于什么样的牙齿 禁忌的又有哪些?
图片尺寸411x274
牙齿也会长斑?喝水得小心了!
图片尺寸511x363
test烤瓷牙质量好坏谁说了算
图片尺寸400x300
【病例分享】渗透树脂治疗氟斑牙前牙一例_釉质
图片尺寸1080x725
出现不透明斑块;氟牙症临床表现的特点(dental fluorosis)又称斑釉牙
图片尺寸475x248
氟斑牙
图片尺寸640x354
【病例分享】渗透树脂治疗氟斑牙前牙一例_釉质
图片尺寸1080x724
自己一口烂牙,门牙有黄斑和白斑不知道是氟斑牙还是牙釉质脱矿?
图片尺寸2818x2400
全口氟斑牙修复--瓷贴面
图片尺寸497x677