斜角肌ct影像

小菱形肌 rhomboideus minor 30.大菱形肌 rhomboideus major 31.
图片尺寸1114x845
男,65岁左肩颈部肿物术后二个月复查,ct平加增示左斜方肌前巨大占位.
图片尺寸1200x2133
面肌痉挛科普问答
图片尺寸740x659
现在左腿及屁股位置的肌肉疼,走时间长
图片尺寸768x1024
肩胛骨 scapula 26.斜方肌 trapezius 27.
图片尺寸1078x821
胸部ct解剖,病例ppt
图片尺寸1080x810
男,65岁左肩颈部肿物术后二个月复查,ct平加增示左斜方肌前巨大占位.
图片尺寸1200x2133
各位同仁我遇到一例棘手的病例请大家会诊
图片尺寸3264x2448
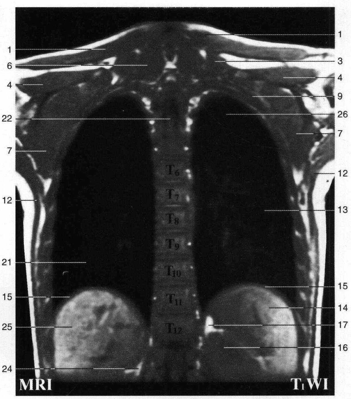
斜方肌trapezius2.菱形肌rhomboideus3.肩胛提肌levatorscapulae4.
图片尺寸1223x1391
预防他汀所致肌肉损害,能否联用辅酶q10?
图片尺寸640x480
断面解剖与mri ct ect对照图谱_知网百科
图片尺寸1221x1136
神经外科主任姬馨彤教你如何通过ct怎样判断面肌痉挛,三叉神经痛和脑
图片尺寸992x976
最全胸部ct肺段划分
图片尺寸800x600
人体断层影像解剖学
图片尺寸1479x1374
组织学检查显示,肿瘤组织由松散的束状或席纹状的肌成纤维细胞组成.
图片尺寸649x663![(图2:a:头颅ct可见斜坡后血肿[黑箭];b:mri可见硬膜下血肿[白箭]延伸](https://i.ecywang.com/upload/1/img2.baidu.com/it/u=2500830658,2309342767&fm=253&fmt=auto&app=138&f=JPEG?w=838&h=500)
(图2:a:头颅ct可见斜坡后血肿[黑箭];b:mri可见硬膜下血肿[白箭]延伸
图片尺寸1280x764
医学 ct与mri影像解剖学 正文 1. 股直肌rectus femoris 2.
图片尺寸1471x1206
由张国庆老师讲解的《肩关节mri规范化扫描及相关病变的影像学》在
图片尺寸1080x810
经甲状软骨中份和喉中间腔的横断层ct
图片尺寸1514x1280
65岁男性,吸烟史30余年,近半年来颈部出现疼痛性肿块,ct扫描如图所示
图片尺寸588x358