新冠患者肺部

但是,新冠肺炎病患者的症状严重时,大量的肺组织会受损,从而产生渗液
图片尺寸640x282
和大家认识一下这就是新冠大白肺的样子病毒性肺炎
图片尺寸720x1280
新冠肺炎感染后,患者的肺是什么样的?专家:这种最可怕.
图片尺寸640x328
26岁肺结核患者感染新冠肺炎后生命垂危肺结核算基础病吗
图片尺寸660x649
医生用vr带你看新冠肺炎患者肺部
图片尺寸830x476
【医学生日记】重症新冠肺炎患者典型"大白肺"
图片尺寸972x607
新冠肺炎的症状和肺部影像表现_新冠肺炎早期肺部有什么表现_ - 知财
图片尺寸535x924
一名新冠患者的肺部x光片.图据路透社
图片尺寸844x576
患者转院前后肺部感染情况.(新华网 刘东 摄)
图片尺寸815x611
x射线图像显示新冠患者的肺部成像比吸烟者的肺部更糟糕
图片尺寸705x440
重症才有危险,与球员抵抗力无关
图片尺寸824x933
我们的肺部除肺泡以外的间质组织,如果感染,发炎,水肿,会导致间质细胞
图片尺寸886x715
下图是新冠肺炎患者在做肺部ct时的图像,肉眼可见的红色圈内或白色
图片尺寸462x325
bbc:咳嗽不断加发烧不一定是新冠肺炎 医生警告可能
图片尺寸600x424
前不久,从新冠肺炎死亡患者的解剖报告中,研究人员发现患者肺部的气道
图片尺寸640x586
最近,因为新冠肺炎疫情,大家对于肺部健康尤其关注.
图片尺寸811x608
新冠肺炎出现"大白肺",黏液阻挡氧气,看医生洗洗肺
图片尺寸640x404
新冠肺炎康复后,会不会残留肺纤维化?有多少比例?
图片尺寸640x409
直观展示!3d呈现新冠患者肺部影像,两肺絮状,阴影临摹均呈现
图片尺寸640x368
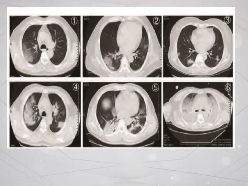
新冠病毒是如何攻击患者肺部的?8张影像图给了答案
图片尺寸750x346