新冠胸片

广西新型冠状病毒性肺炎影像汇集
图片尺寸1080x810
能从这张胸片诊断新冠肺炎表明陈文生主任的高度责任感和扎实基本功
图片尺寸395x436
胸片展示
图片尺寸1694x951
img_20200206_115420.jpg
图片尺寸916x653
厉害!看看如何利用dr做断层诊断新冠肺炎
图片尺寸382x385
ai再出力,可通过胸部x光片检测新冠
图片尺寸600x459
其它 新冠肺炎防护手册 写美篇毒表面的突起物让其
图片尺寸1080x495
alforcovid项目的新冠患者胸部x光片,对感染区域的a
图片尺寸624x352
健康人群感染新冠肺炎临床特征13名患者均康复
图片尺寸712x620
新冠肺炎患者肺功能不可恢复
图片尺寸690x393
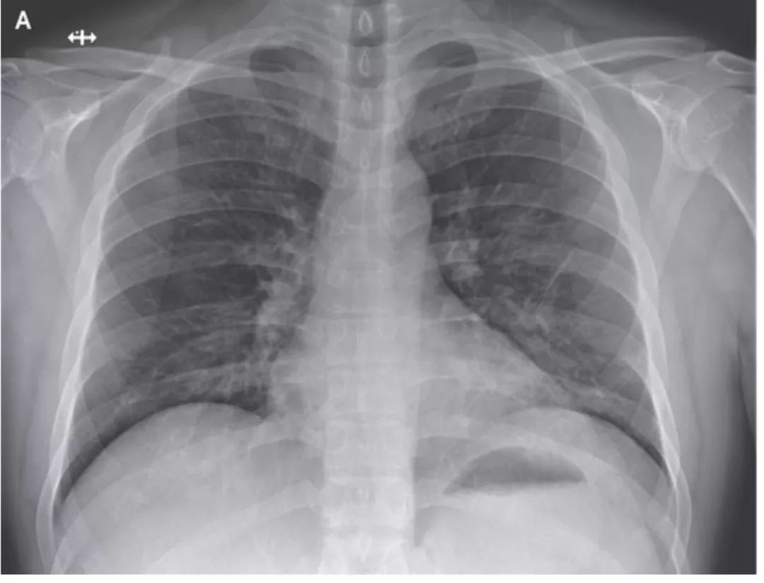
图 9 mpp 的胸盘胸片及 ct 表现.a:胸片示右下肺叶渗出.
图片尺寸972x526
印尼新冠患者9小时内肺部x光变化令人震惊
图片尺寸801x448
病情迅速好转!美国首例新冠肺炎治疗经过
图片尺寸1080x824
(a) 最初的胸片显示双肺广泛的斑片状实变(箭头)和空气支气管征(箭头)
图片尺寸724x428
厉害!看看如何利用dr做断层诊断新冠肺炎
图片尺寸352x367
a普通型患者,胸片提示两肺纹理增多增粗,散在小斑片条索影b重型患者
图片尺寸900x915
中心医院放射科讨论诊断邓州市首例新型冠状病毒肺炎患者(刘xx)
图片尺寸1016x1125
图解新型冠状病毒肺炎的影像学表现
图片尺寸1051x416
(上) 最初的胸片显示两肺广泛的斑片状实变(箭),空气支气管征(箭头)
图片尺寸1080x1094
新冠医学影像合集
图片尺寸1080x1049