新冠ct

新冠肺炎ct
图片尺寸3968x2976
新冠肺炎ct片好转后又加重_新冠肺炎好转ct表现_ - 知财网
图片尺寸640x496
医院职工新冠治疗ct大神帮指导下
图片尺寸1920x886
医院职工新冠治疗ct大神帮指导下
图片尺寸1920x886
国内新冠疫情反弹新冠肺炎ct的这6个典型征象务必掌握
图片尺寸639x404
新型冠状病毒感染的肺炎ct影像学表现
图片尺寸1080x885
(胸膜平行征):病灶长轴常与胸膜平行,提示新冠肺炎
图片尺寸1080x957
新型冠状病毒肺炎不同时期肺部 ct 表现 figure4.
图片尺寸3346x1417
高尚病例患者持续干咳乏力ct检出新冠病毒感染肺部1例
图片尺寸1080x783
新冠肺炎ct早期征象与鉴别诊断
图片尺寸800x800
影像进展新冠肺炎的ct典型和不典型表现以及影像学分期
图片尺寸459x460
新冠肺炎ct
图片尺寸3968x2976
新冠肺炎典型ct表现 - 好大夫在线
图片尺寸865x498
新冠病毒肺炎ct特征
图片尺寸344x625
从2019年开始,新冠病毒就出现在人们的生活当中,打
图片尺寸640x502
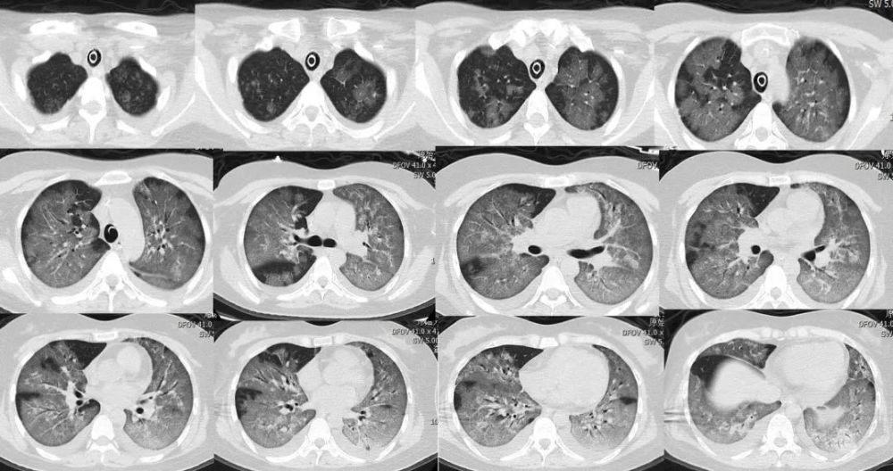
新冠肺炎的ct图像
图片尺寸1001x564
【影像进展】新冠肺炎的ct典型和不典型表现以及影像学分期_腾讯新闻
图片尺寸866x492![新病人在排除新冠,ct影响考虑?感染,占位? [病例帖]](https://i.ecywang.com/upload/1/img2.baidu.com/it/u=3588125354,2714969544&fm=253&fmt=auto&app=120&f=JPEG?w=500&h=375)
新病人在排除新冠,ct影响考虑?感染,占位? [病例帖]
图片尺寸3968x2976
刘敏:病毒性肺炎的ct影像学特征分析
图片尺寸1000x528
新冠肺炎ct
图片尺寸3968x2976