新生儿脑水肿

印度3月大男婴患脑水肿脑袋为正常三倍大
图片尺寸600x384
男婴脑积水 头部肿胀巨大(图)
图片尺寸608x435
世界上头最大的婴儿,罗娜·贝古姆(大头娃娃已去世)
图片尺寸550x347
婴儿急产头部著地 出生5天勇闯5关
图片尺寸400x484
宝宝后脑勺左侧前两天有红红的有点肿起来了.没有摔去过,摸去也不疼.
图片尺寸3024x4032
儿童脑积水都有哪些临床表现? - 好大夫在线
图片尺寸651x488
男婴脑积水 头部肿胀巨大
图片尺寸608x1045
各类型脑水肿的鉴别
图片尺寸640x347
孟加拉国2岁男孩患脑水肿 头重18斤且仍生长
图片尺寸1060x729
前几天摔掉过地上,是摔的嘛?
图片尺寸768x1024
【先天脑积水徐佳宇求大爱】四川的脑积水5月宝宝求助 .
图片尺寸600x450
核保案例九新生儿头皮血肿
图片尺寸466x355
2岁男童脑水肿头重18斤 父母需时刻陪伴左右喂食和洗漱
图片尺寸1280x960
脑积水
图片尺寸900x500
婴儿脑积水鞍上蛛网膜囊肿,软性内镜术后脑积水更重,现在孩子发育迟缓
图片尺寸640x634
6个月婴儿脑积水头部进行性增大2月余在脑脊液中心79天治愈现在宝宝会
图片尺寸640x420
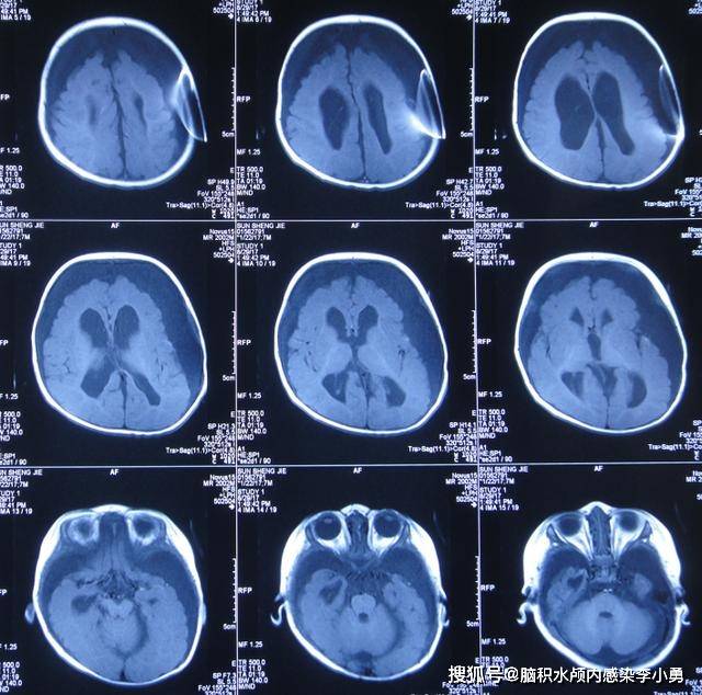
脑水肿,脑积水的分类及图像表达,一文归纳
图片尺寸891x629
新生儿脑水肿严重吗新生儿脑水肿会影响发育吗
图片尺寸600x400
新生儿脑水肿对宝宝会有哪些影响
图片尺寸1280x720
心痛,都是宝宝穿的过多惹的祸,天气虽凉,这些警示一定要牢记|新生儿
图片尺寸640x686