方格星虫结构

裸体方格星虫,星虫门的动物,本地俗称沙肠,可供食用,在广西一带,每
图片尺寸1600x1200
方格星虫(沙虫)养殖技术,人工养殖沙技术,沙虫养殖视频教程
图片尺寸638x406
方格星虫
图片尺寸488x322
沙虫也叫沙肠学名方格星虫.营养价值非常高.
图片尺寸576x1024
每天认识一种鱼239丨方格星虫虫不可貌相
图片尺寸592x272
方格星虫
图片尺寸480x480
方格星虫
图片尺寸365x335
方格星虫,俗称沙虫,产于沿海滩涂泥沙之中,外观长两寸左右,状若芦芽
图片尺寸1198x1598
这几种虫子虽然其貌不扬却经常被人抓来做成美食吃过的举手
图片尺寸660x440
裸体方格星虫
图片尺寸268x194
方格星虫
图片尺寸950x712
它叫沙虫又叫海人参,学名方格星虫,又称为光裸星虫,俗称"沙虫".
图片尺寸475x527
方格星虫
图片尺寸300x228
方格星虫的各种图片
图片尺寸250x183![低盐胁迫对光裸方格星虫相关组织结构和非特异性免疫酶的影响[j].](https://i.ecywang.com/upload/1/img1.baidu.com/it/u=731179857,2209966121&fm=253&fmt=auto&app=138&f=JPEG?w=917&h=500)
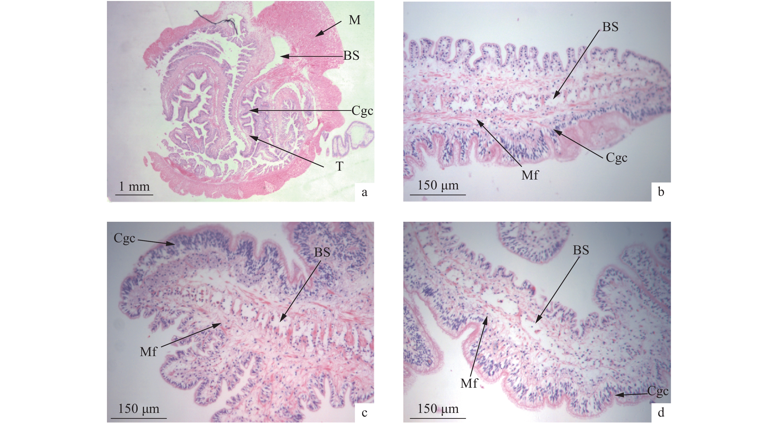
低盐胁迫对光裸方格星虫相关组织结构和非特异性免疫酶的影响[j].
图片尺寸3150x1717
附ii:星虫门(sipunculoidea)
图片尺寸923x1608
方格星虫,长的和单环刺螠很像但味道不同
图片尺寸792x388
赶海抓的方格星虫很多外地人不敢吃小伙这样处理能卖700一斤
图片尺寸1555x972
方格星虫
图片尺寸300x185
每天认识一种鱼239丨方格星虫虫不可貌相
图片尺寸690x517