星型细胞瘤

低级别弥漫性星形细胞瘤的影像学特征theneurosurgicalatlas全文翻译
图片尺寸1080x602
星形细胞瘤分类及影像诊断
图片尺寸960x720
毛细胞型星形细胞瘤的影像学诊断要点
图片尺寸639x459
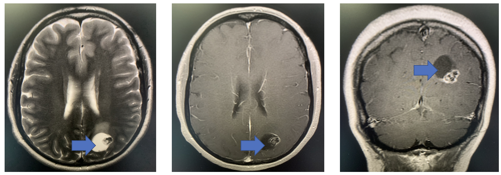
星形胶质细胞瘤脑室内等你分析读片专栏1126期
图片尺寸509x517
毛细胞型星形细胞瘤,多形性黄色星形细胞瘤,室管膜下巨细胞星形细胞瘤
图片尺寸882x436
毛细胞星形细胞瘤
图片尺寸612x1020
多形性黄色星形细胞瘤1例mr影像
图片尺寸606x1404
(二)星形细胞瘤:Ⅰ级
图片尺寸1080x810
成功手术治疗小脑毛细胞型星形细胞瘤患者
图片尺寸850x995
毛细胞型星形细胞瘤(pa)
图片尺寸1046x1536
贝伐单抗多久有耐药性_胶质母瘤四级死亡过程_胶质母细胞瘤脑水肿打
图片尺寸550x423
毛细胞星形细胞瘤(pa)5
图片尺寸995x766
多形性黄色星形细胞瘤ppt幻灯片
图片尺寸800x600
宁城县蒙医中医医院神经外科成功切除一例间变性星形细胞瘤
图片尺寸1202x1474
间变性星形细胞瘤,等你分析 | 读片专栏933期
图片尺寸958x803
小脑的囊性星形胶质细胞瘤(大体)
图片尺寸504x330
【医学影像】跟我一起刷病例 | 星形细胞瘤
图片尺寸1728x1080
脑科医生讲科普:毛细胞型星形细胞瘤
图片尺寸986x1332
毛细胞性星形细胞瘤
图片尺寸650x488
可单纯手术治愈的毛细胞星形细胞瘤不是所有胶质瘤都要放化疗
图片尺寸1630x570