晚期胃癌

晚期胃癌
图片尺寸600x600
【免疫双擎 开创先例】卡度尼利单抗为高龄晚期胃癌患者带来更好的
图片尺寸705x298
一例年轻晚期胃癌和一例年轻晚期大肠癌引发的思考 - 好大夫在线
图片尺寸1080x1440
对于晚期胃癌化疗还有意义吗?
图片尺寸426x370
晚期胃癌治疗病例分享
图片尺寸3024x4032
晚期胃癌 转化治疗 成功 行胃癌扩大根治术 - 好大夫在线
图片尺寸1500x1999
问题:80岁现查出胃癌晚期,有糖尿病,不能手术,想中药调理
图片尺寸1700x2352
一例晚期胃癌行术前化疗后成功手术治疗
图片尺寸640x640
晚期胃癌 转化治疗 成功 行胃癌扩大根治术 - 好大夫在线
图片尺寸3456x3496
是良性,最终确诊晚期胃癌我曾经写过多篇被漏诊的胃印戒细胞癌的病例
图片尺寸1080x928
平时看着都很健康的人,突然就查出来胃癌晚期,因为要过年了,都 - 抖音
图片尺寸1280x1171
胃癌晚期症状晚期胃癌的关键症状是上腹痛,恶心呕吐,不爱吃饭.
图片尺寸800x320
病例分享:her2阳性晚期胃癌治疗方案
图片尺寸600x1379
转化治疗,守护晚期胃癌患者最后一线生机!
图片尺寸1702x1276
转化治疗联合腔镜手术,晚期胃癌新希望!
图片尺寸1600x1200
胃癌晚期有什么症状?
图片尺寸339x198
23岁大学生确诊晚期胃癌只因长期在做三件事
图片尺寸1080x1422
胃癌晚期第四年,这是最初住院的病历 - 抖音
图片尺寸1440x1920
维迪西妥单抗为her2ihc2晚期胃癌患者带来治疗新契机
图片尺寸1028x535
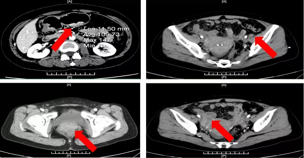
实例鉴证,携爱而行|局部晚期胃癌患者呋喹替尼联合紫杉醇转化治疗后
图片尺寸636x620