智齿一定要拔吗

必须拔吗智齿
图片尺寸1080x1304
智齿必须要拔吗
图片尺寸1080x1528
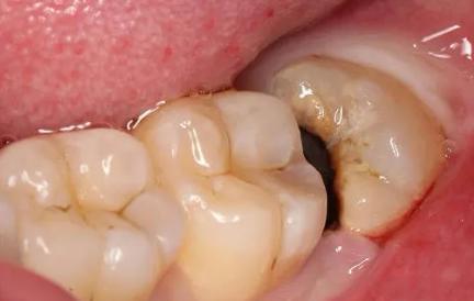
五小布微提示# 【智齿一定要拔吗?
图片尺寸1080x9013
揭秘那些牙医不会告诉你的拔智齿真相
图片尺寸480x304
你知道什么情况下要拔智齿吗?#牙齿小知识科普 #小知识 #牙 - 抖音
图片尺寸1080x1440
十种智齿不能拔的图片以及必须拔掉的智齿图快速了解什么样的智齿必须
图片尺寸600x400
智齿一定要拔吗?
图片尺寸1440x960
智齿一定要拔吗拔完对面型有影响吗
图片尺寸689x757
疼疼疼智齿一定要拔吗别等疼了才想起
图片尺寸900x519
60帧超清,第一视角拔智齿,撬牙齿的那一刻,真是太刺激了!
图片尺寸448x252
80%的智齿都要拔掉,除非是这3种情况.
图片尺寸586x410
智齿一定要拔吗快来看看这是不是你的智齿
图片尺寸600x402
智齿一定要拔吗?牙科医生提醒:这6种不要犹豫尽快拔掉!
图片尺寸432x274
拔智齿真的能瘦脸吗?
图片尺寸532x512
智齿要不要拔?
图片尺寸418x600
智齿一定要拔除吗?拔一颗智齿多少钱?
图片尺寸500x333
这6种智齿建议拔掉##智齿不疼还用拔吗
图片尺寸690x1101
智齿横着长一定要拔吗有风险吗拔牙别太担心哦
图片尺寸561x680
智齿一定要拔掉吗(智齿一定要拔掉吗拔智齿多少钱)
图片尺寸600x449
为拔智齿竟要敲下一块骨头?关于智齿的8个疑问大起底!| 过日子
图片尺寸640x533