智齿是哪一颗牙齿

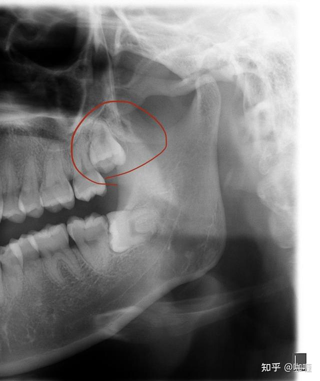
一天一个口腔小知识:阻生智齿 大家的智齿是正位生长吗
图片尺寸987x1280
智齿又叫第三磨牙,是口腔内最后萌出的牙齿.
图片尺寸500x505
如何判断自己长智齿了  智齿,是我们口腔中最后萌出的一组牙齿,通常在
图片尺寸1242x1660
也是从正中的门牙往里数的第八颗牙齿,由于遗传基因的不同,智齿一般会
图片尺寸960x1280
大多数情况下,智齿的生长会受到空间,位置,龋齿等影响.
图片尺寸1242x1660
智齿总发炎却不敢拔,最后会怎么样?
图片尺寸2133x1600
智齿是不是不疼就不用拔除?_口腔_进行_牙齿
图片尺寸3600x2000
智齿,顾名思义,是我们成年后长出的牙齿,通常位于口腔后部.
图片尺寸1920x1280
仙游京福口腔医院##口腔科普##牙齿健康##智齿
图片尺寸581x798
纪念一下陪伴了我这么久的左下颌智齿.长的挺立正的
图片尺寸1440x1466
医生,我的智齿一定要拔掉吗?
图片尺寸640x650
口腔科普丨什么是智齿?(小白必看版)
图片尺寸2708x1804
你问医答丨长了智齿,一定要拔吗?
图片尺寸1080x6293
智齿大揭秘!这些危害你绝对不能忽视!
图片尺寸640x761
拔除牙齿图
图片尺寸750x500
的智齿容易将邻牙挤压后,造成邻牙受损,甚至还易导致牙齿变得拥挤不齐
图片尺寸640x395
在智齿生长过程中,如果它的位置不正,可能会引发对相邻牙齿的不良影响
图片尺寸700x420
智齿会把前面牙齿挤歪吗?
图片尺寸1284x1286
07智齿,这个让人又爱又恨的存在.
图片尺寸958x1280
一位高三备考的同学来看牙,检查后是智齿的问题,大夫建议拔除, - 抖音
图片尺寸1920x1440