智齿食物嵌塞

我是如何处理食物嵌塞
图片尺寸895x504
食物嵌塞简介及临床病例1例
图片尺寸403x301
拔智齿#智齿经常嵌塞食物,容易引起蛀牙和发炎,及早拔除哟
图片尺寸690x2427
吃饭后总塞牙还疼,55岁阿姨口腔科就诊后解决了_治疗_牙齿_云南省
图片尺寸446x292
来个嵌体.#口腔科普 #牙齿 - 抖音
图片尺寸1080x545
我是如何处理食物嵌塞
图片尺寸430x278
精灵牙周心语#食物嵌塞之七宗罪
图片尺寸750x536
我是如何处理食物嵌塞
图片尺寸1672x941
我是如何处理食物嵌塞
图片尺寸607x456
精灵牙周心语#食物嵌塞之七宗罪
图片尺寸750x536
食物嵌塞简介及临床病例1例
图片尺寸630x749
我是如何处理食物嵌塞
图片尺寸705x397
智齿冠周炎的症状和图片 - 有来医生
图片尺寸400x300
我是如何处理食物嵌塞
图片尺寸447x300
这种智齿一定要拔 说了一百五十回,长斜的智齿一定要拔掉,嵌塞食物
图片尺寸1048x762
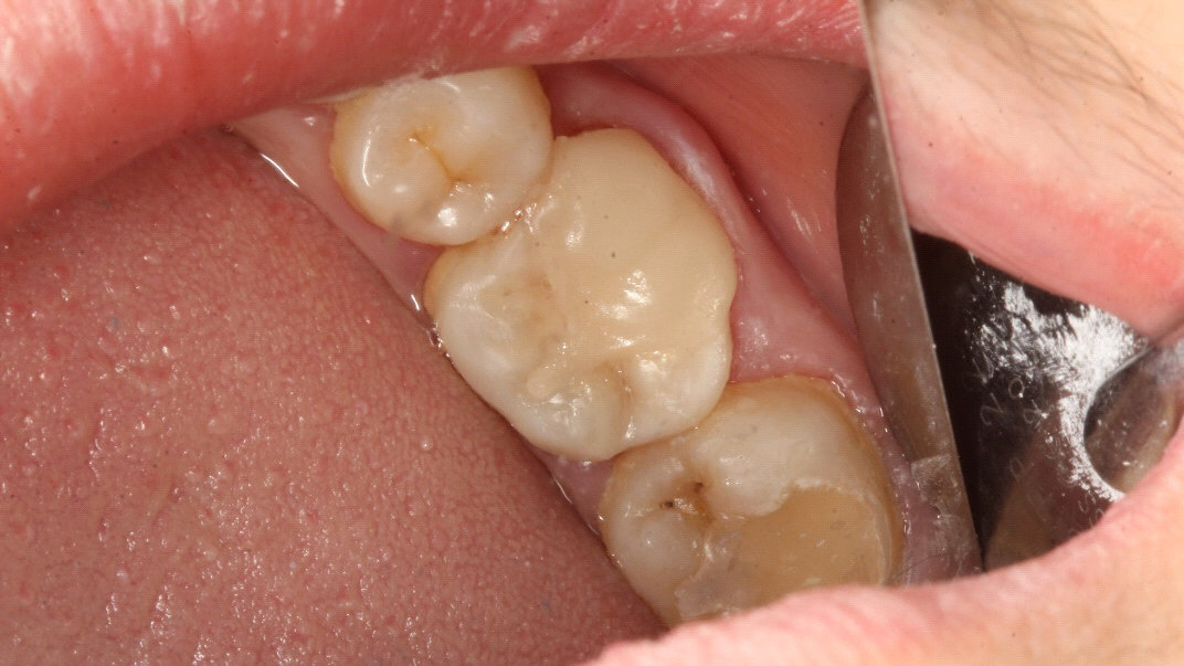
我是如何处理食物嵌塞
图片尺寸1072x603
食物嵌塞简介及临床病例1例_咬合
图片尺寸640x507
我是如何处理食物嵌塞
图片尺寸1270x715
关于【食物嵌塞】的治疗
图片尺寸350x230
吃饭后总塞牙还疼,55岁阿姨口腔科就诊后解决了_治疗_牙齿_云南省
图片尺寸402x263