曲霉40倍显微镜图

黑曲霉显微镜下图像
图片尺寸900x1200
这是曲霉----致病力很强
图片尺寸1199x1199
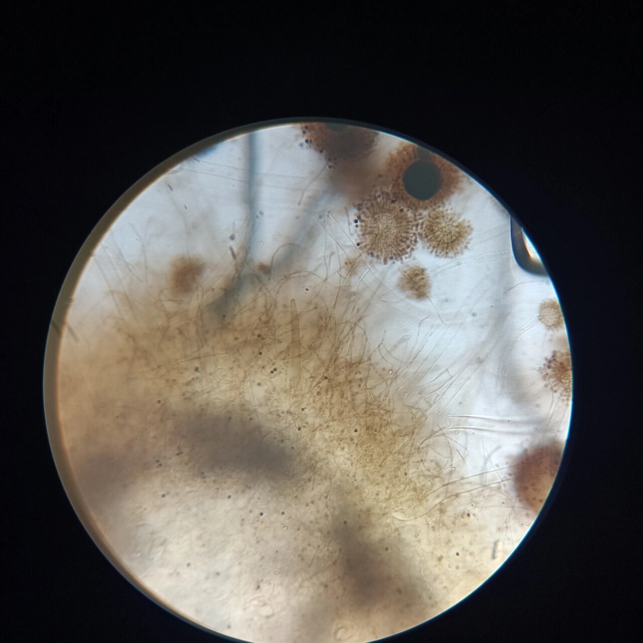
自己拍的曲霉图片请欣赏
图片尺寸850x766
【原创】痰标本检出黑曲霉
图片尺寸3120x4208
构巢曲霉.#显微镜下的世界 #微观世界 - 抖音
图片尺寸1280x1706
烟曲霉
图片尺寸1080x810
这是显微镜下看到的曲霉
图片尺寸2667x2000
曲霉菌真菌显微镜下的曲霉菌.真菌微生物学照片
图片尺寸292x300
显微镜玻片标本套装 初中学生儿童学生动物植物细胞生物切片标本 曲霉
图片尺寸800x800
真菌大讲堂拾零(七)曲霉篇
图片尺寸1080x1080
曲霉菌
图片尺寸1080x1439
自己拍的曲霉图片请欣赏
图片尺寸762x729
没有专业的显微镜,不是非常清楚,谅解
图片尺寸818x742
显微镜检查观察如下图:患者男性,83岁,间断咳嗽10余年,最近咳嗽加重
图片尺寸1080x1163
显微镜下的曲霉 很像棒棒糖,只不过棒是透明的(有些似乎注入了某种
图片尺寸1280x1280
1080_1440竖版 竖屏
图片尺寸1080x1440
自己拍的曲霉图片,请欣赏
图片尺寸912x867
自己拍的曲霉图片,请欣赏
图片尺寸792x737
曲霉(400倍)
图片尺寸720x960
曲霉属真菌在显微镜下
图片尺寸1200x801