有核红细胞

长"核"的红细胞——带您认识"有核红细胞"
图片尺寸338x219
一例重型β地中海贫血患者外周血有核红细胞异常增多_腾讯新闻
图片尺寸1000x935
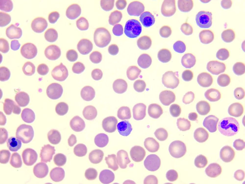
一例重型β地中海贫血患者外周血有核红细胞异常增多_腾讯新闻
图片尺寸1000x986
外周血中有核红与幼稚粒
图片尺寸501x810
有核红
图片尺寸1200x1600
外周血中有核红与幼稚粒
图片尺寸512x810
淋巴细胞还是有核红细胞让我们来揭开这神秘的面纱
图片尺寸1000x750
淋巴细胞还是有核红细胞让我们来揭开这神秘的面纱
图片尺寸1000x750
新生儿外周血有核红细胞增多与呼吸窘迫_检客原创_检客原创_检验视界
图片尺寸380x381
有核红细胞
图片尺寸300x225
如图我们可以看见wnr图上左侧有一堆红色点,并且有核红细胞参数(nrbc)
图片尺寸659x659
一例关于血涂片里有核红的案例_学术交流_检验视界_检验视界网
图片尺寸415x388
红细胞红细胞解剖医学概念. 里面有胡照片
图片尺寸500x300
新生儿外周血有核红细胞增多与呼吸窘迫_检客原创_检客原创_检验视界
图片尺寸368x341
大量有核红细胞致血细胞分析仪白细胞假性升高
图片尺寸752x563
在出生后由于红细胞膜表面抗原与母体抗体不相容而导致的溶血现象
图片尺寸3024x4032
临床基本功│红细胞异常知多少
图片尺寸771x515
真假有核红|红细胞|白细胞|溶血|外周血_网易订阅
图片尺寸659x659
不日接到患者骨髓涂片标本,镜检如下但由于原始细胞的出现,使我判断的
图片尺寸1080x810
红细胞高渗图片
图片尺寸302x300