朊病毒大脑空洞

朊病毒无药可救且烹煮杀不死,感染后会有多恐怖?
图片尺寸640x433
能掏空人脑,能让羊疯狂瘙痒,朊病毒在法国实验室泄漏致人死亡
图片尺寸768x243
烹煮都杀不死的朊病毒,感染后究竟会有多恐怖?_大脑_蛋白_动物
图片尺寸1085x483
刻进dna里的禁忌致死率100的阮病毒感染后到底有多恐怖
图片尺寸640x343
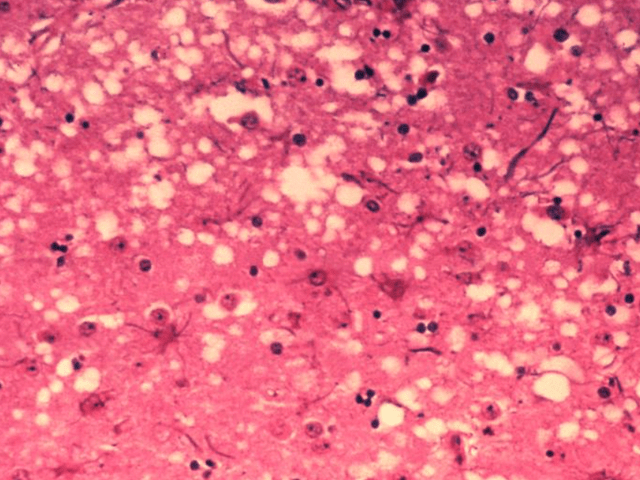
亲自领了一片长老的脑子,他发现这块脑片竟然如同一块布满空洞的海绵
图片尺寸850x552
朊病毒有多可怕?"笑死病"的元凶,约90%的感染者会在1年内死亡
图片尺寸791x410
病理基础是蛋白质朊病毒基因遗传病疾病疯牛病疯牛病毒图朊病毒大脑
图片尺寸690x456
烹煮杀不死无药可救的朊病毒,感染后有多恐怖?_大脑_蛋白质_生物
图片尺寸640x480
美国现首批僵尸鹿病毒死亡病例# 朊病毒因为非常特殊而具有传圃性
图片尺寸2638x1280
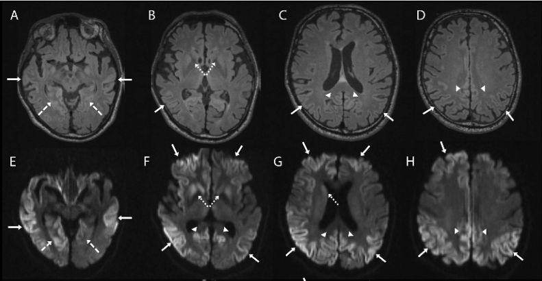
克雅氏病(cjd)是一种罕见的致命脑部疾病,由让人闻风丧胆的朊病毒引起
图片尺寸811x738
烹煮都杀不死的朊病毒,致死率100%无药可救!感染后有多恐怖?
图片尺寸1080x546
朊病毒|疯牛病|库鲁病_网易订阅
图片尺寸640x362
朊病毒|疯牛病|库鲁病_网易订阅
图片尺寸640x423
朊病毒的毒性并不强,但如果大量摄取含有朊病毒的动物饲料,健康的牛
图片尺寸1024x576
食人部落与笑死病哺乳动物为何不吃同类朊病毒是答案
图片尺寸640x404
朊病毒离我们并不遥远.
图片尺寸1044x650
阮病毒直击大脑朊病毒的可怕之处就在于它会直接进攻人和动物的大脑
图片尺寸1043x601
的想法: 血脑屏障是把双刃剑 | 今天又学到一个新知识点,什么是朊病毒
图片尺寸3024x4032
致死率100%!朊病毒烹煮杀不死,无药可救,感染后究竟有多恐怖?
图片尺寸640x420
【解剖】教你半小时之——超清大脑断层解剖!
图片尺寸580x420