术氏冠

古代头衣:蕴含着对传统文化的认知,不同款式的冠有何寓意?
图片尺寸500x166
【病例】全口双套冠修复
图片尺寸640x424
详解什么是套筒冠义齿以及套筒冠假牙的优缺点和制作过程
图片尺寸835x471
牙冠延长术的一般步骤及病例分享曹正国教授
图片尺寸963x467
左上中切牙外伤冠折后行活髓切断术断冠再接一例
图片尺寸1400x627
病例分享前牙区美学牙冠延长术一例
图片尺寸2346x864
病例分享前牙区美学牙冠延长术一例
图片尺寸2222x1032
前牙纤维桩折断的残根牙冠延长术后的美容修复
图片尺寸560x748
官帽大体上有冕冠,长冠,通天冠,进贤冠,法冠,术氏冠等二十余种.
图片尺寸1080x608
《沙丘2》映前小课堂,一文带你全看懂——一部需
图片尺寸1100x580
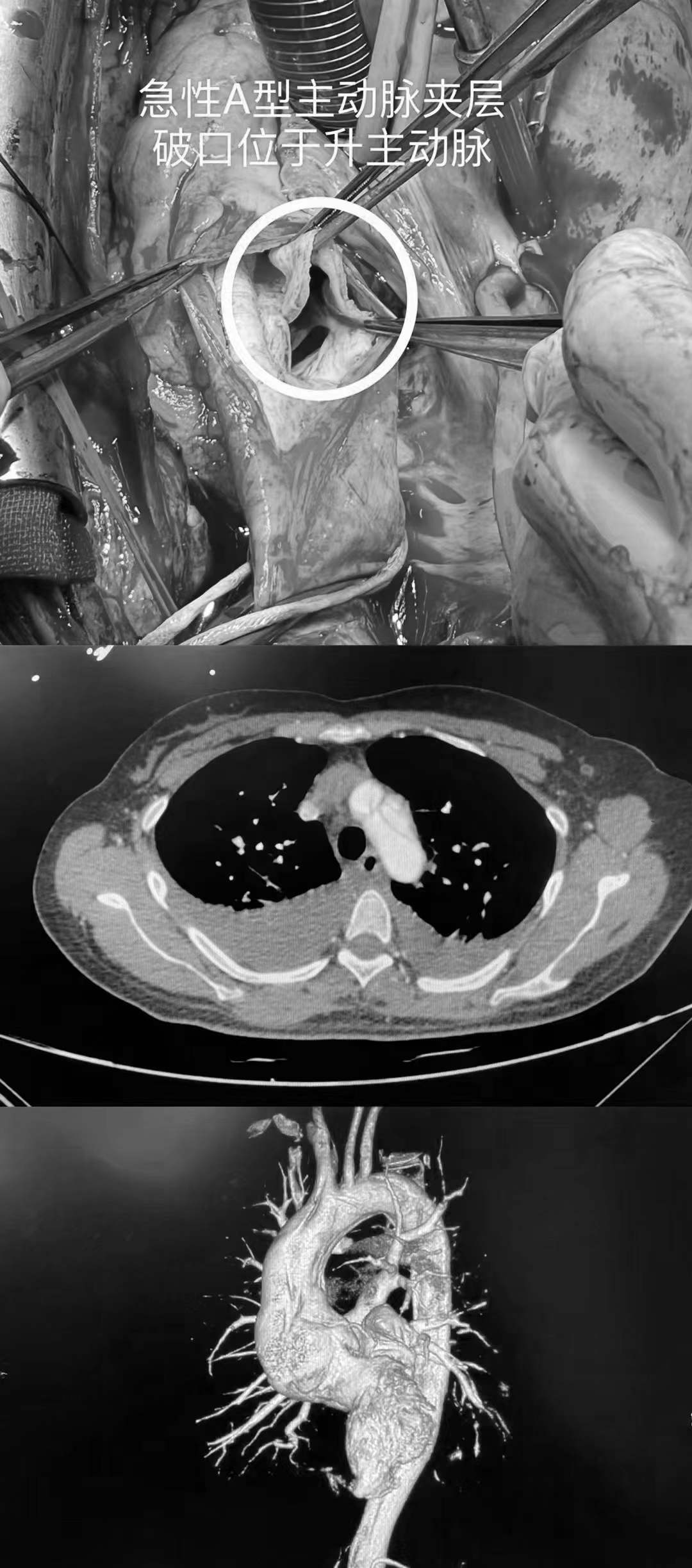
马不停蹄地为刘女士实施了急诊右冠主干冠脉搭桥术 bentall手术 孙氏
图片尺寸1080x2446
门开了你敢进来吗让盗墓贼吓破胆的神秘壁画代表什么
图片尺寸640x423
《沙丘2》映前小课堂,一文带你全看懂——一部需
图片尺寸1080x608
正常冠脉造影和冠状动脉支架植入术图解
图片尺寸600x567
卓越医疗巧用金刚钻细做瓷器活怀化市第二人民医院成功开展冠脉旋磨术
图片尺寸1036x450
病例分享前牙区美学牙冠延长术一例
图片尺寸2092x936
全瓷牙,全瓷牙价格_更美用户6qhii6rffp全瓷牙价格_术后54天__更美
图片尺寸640x640
隔膜型主动脉瓣下狭窄切除术
图片尺寸300x260
a:白塞氏病患者内衬固定环加固的bentall手术 la:左心房,mv为二尖瓣
图片尺寸732x342
明神宗昭妃刘氏并非太后却能入住慈宁宫其地位来自于政治斗争
图片尺寸621x793