杀牙神经

什么情况下需要杀牙神经?
图片尺寸450x300
今日口腔小科普——根管治疗(俗称杀神经)
图片尺寸640x939
把牙神经杀掉有什么后果建议杀掉做一颗烤瓷牙吗
图片尺寸1536x2048
根管治疗,杀神经,听着就疼.也不便宜.还不能治了就包好.
图片尺寸1078x1080
杀死牙神经对牙有坏处吗
图片尺寸640x447
牙齿杀神经价格(抽完牙神经后) - 价格百科
图片尺寸950x633
牙齿杀神经到底有多痛
图片尺寸640x386
哪些情况需要杀牙神经
图片尺寸452x276
不能随便杀牙神经否则后果很严重
图片尺寸640x427
牙齿杀神经到底有多疼
图片尺寸495x297
为什么牙齿杀完牙神经后会那么痛
图片尺寸450x300
根管治疗全过程是怎么样的?,杀牙神经
图片尺寸552x387
杀牙神经要多久杀牙神经哪个步骤最痛
图片尺寸538x690
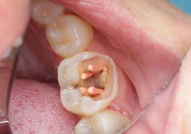
牙齿杀神经根管治疗全程受罪一点都不假说多了都是泪啊
图片尺寸1556x973
根管治疗(杀神经)后的牙齿没有血液流通,没有营养供_圈子-新氧美容
图片尺寸720x1280
4.重度牙齿磨耗造成牙神经暴露者,需要杀牙神经.3.
图片尺寸640x426
04重点来了:杀牙神经到底痛不痛?
图片尺寸450x360
牙医生说的杀神经是什么意思
图片尺寸448x250
牙神经不能随便杀!牙疼的你快来看看!
图片尺寸1917x1280
涨姿势:牙神经是什么?什么情况下需要杀牙神经?
图片尺寸815x596