李志忠医生

李志忠医生怎么样-李志忠医生好不好-李志忠就诊评价-39就医助手
图片尺寸541x768
【中原德懿堂中医门诊部】李志忠_医生简介及预约挂号_名医在线
图片尺寸536x536
李志忠的爱问医生诊室
图片尺寸724x724
皮肤病专家李志忠的秒拍视频
图片尺寸1002x564
德懿堂院长李志忠"我是一名皮肤病医生,也是一名马拉松爱好者.
图片尺寸600x400
大河报报道皮肤医生李志忠钻研青春痘20年
图片尺寸800x532
李志忠执业医师-爱问医生
图片尺寸759x549
李志忠主治医师-爱问医生
图片尺寸1000x664
l 皮肤病专家李志忠的微博视频 6月13日 10:15 来自 爱问医生移动版
图片尺寸639x360
德懿堂李志忠 医生
图片尺寸640x320
我的2016年12月05日诊间日记-李志忠主治医师-爱问医生
图片尺寸2048x1365
湿疣医生李志忠
图片尺寸490x490
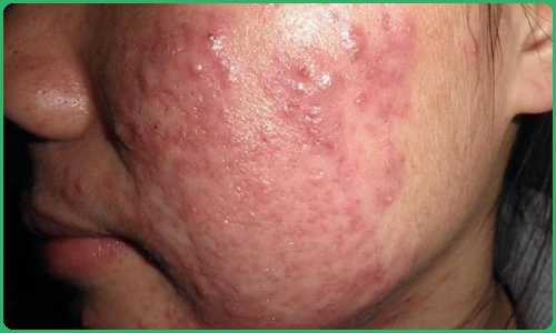
皮肤医生李志忠 的想法: 青春痘严重的情况下,可引发皮肤囊肿累及
图片尺寸3024x4032
成功之路没有捷径勇于攀登只争朝夕记德懿堂李志忠院长
图片尺寸1080x606
李志忠主治医师-爱问医生
图片尺寸800x500
李志忠主治医师-爱问医生
图片尺寸1080x609
李志忠主治医师-爱问医生
图片尺寸500x300
中医验方让你告别毛囊炎!-李志忠主治医师-爱问医生
图片尺寸500x375
中医如何治疗特应性皮炎?-李志忠主治医师-爱问医生
图片尺寸640x640
皮肤医生李志忠 的想法: 牛皮癣,中医治疗此病,首先从肝入手 - 知乎
图片尺寸3024x4032