杏仁核核磁

杏仁核体积指数在颞叶内侧癫痫患者手术评估中的作用
图片尺寸700x451
自然解密学习记忆中央杏仁核的新作用揭示了
图片尺寸1080x608
海马与杏仁核恐惧的产生也与神经递质息息相关,而某
图片尺寸550x372
病友故事rosa机器人辅助seeg手术精准治疗造福癫痫患者
图片尺寸1061x705
为了拯救失忆,研究人员在人类大脑里放入了一
图片尺寸620x771
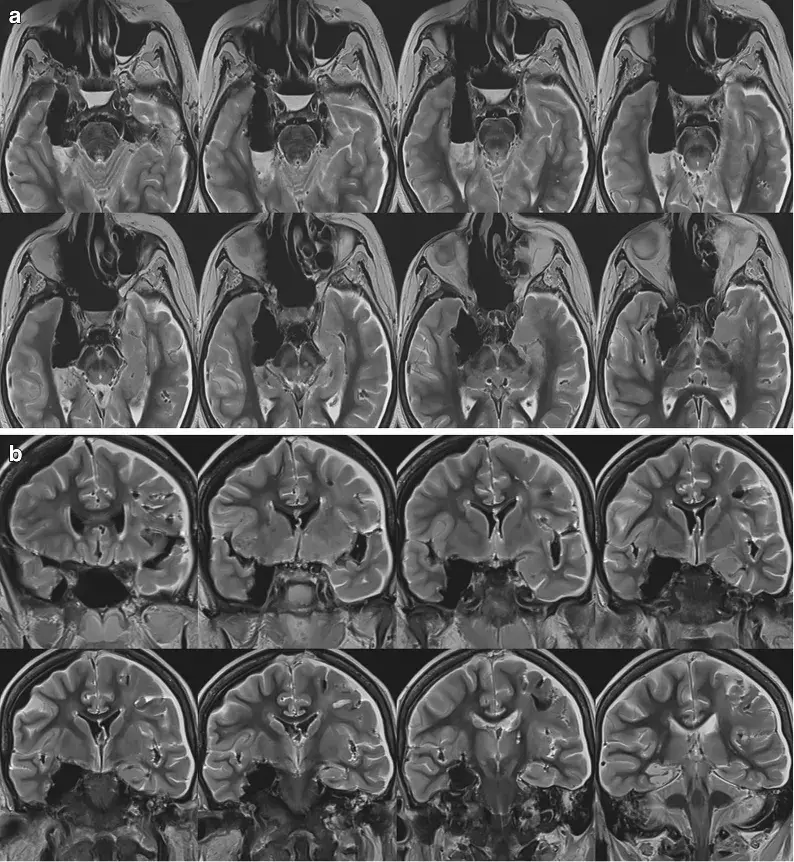
经外侧裂选择性切除海马杏仁核治疗mtle的疗效
图片尺寸1280x1242
经外侧裂选择性切除海马杏仁核治疗mtle的疗效
图片尺寸2004x535
全身mri详解
图片尺寸670x403
论坛
图片尺寸640x853![请高手指点! [精华] [病例帖]](https://i.ecywang.com/upload/1/img1.baidu.com/it/u=1171740808,1577641460&fm=253&fmt=auto&app=138&f=JPEG?w=499&h=311)
请高手指点! [精华] [病例帖]
图片尺寸700x436
为了大脑健康努力减肥吧
图片尺寸823x900
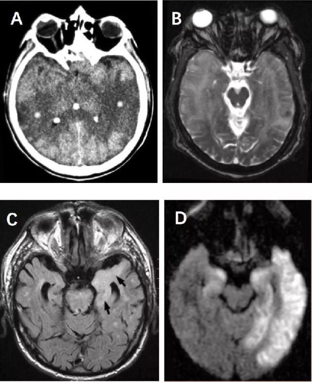
中枢神经系统病毒感染的mri表现一文了解
图片尺寸641x783
为了看得更清晰,医生又让我做了加强核磁共振.
图片尺寸434x578
杏仁核在情绪处理过程中的功能
图片尺寸1030x527
杏仁核在情绪处理过程中的功能
图片尺寸1268x900
内镜下经鼻入路至颞叶内侧选择性切除杏仁核海马
图片尺寸794x862
丁香园论坛
图片尺寸260x320
袁加锦教授团队揭示执行意图导致自动化情绪调节的脑功
图片尺寸812x244![呕吐8天.到目前,我们查到的结果很有趣, [病例帖]](https://i.ecywang.com/upload/1/img2.baidu.com/it/u=2860276949,3849500995&fm=253&fmt=auto&app=138&f=JPEG?w=611&h=500)
呕吐8天.到目前,我们查到的结果很有趣, [病例帖]
图片尺寸870x712
nexus手术技巧丨第五十三期经右侧颞下入路行选择性
图片尺寸749x925