松果体ct
![【读片】是否松果体囊肿? [病例帖]](https://i.ecywang.com/upload/1/img1.baidu.com/it/u=4024601806,1667712424&fm=253&fmt=auto&app=138&f=JPEG?w=400&h=500)
【读片】是否松果体囊肿? [病例帖]
图片尺寸2048x2560
图文讲座丨儿童松果体区肿瘤的临床及影像学特征
图片尺寸1012x1533
松果体区病变影像学表现ppt
图片尺寸1080x810
神外解剖学松果体部分图文详解
图片尺寸731x521
检查ct后发现有脑积水(图-1),再查头颅核磁(图-2)后认为是"松果体囊肿
图片尺寸948x588
【省立影像读片】松果体区肿瘤 21.07
图片尺寸960x720
【省立影像读片】松果体区肿瘤 21.07
图片尺寸960x720
松果体区肿瘤的放射治疗?(实例图组) - 好大夫在线
图片尺寸1280x960
松果体区肿瘤:优先选择伽玛刀治疗_松果体瘤_松果体瘤治疗方式 - 好
图片尺寸721x1085
松果体区肿瘤-ct
图片尺寸1372x1701
松果体区占位诊疗策略及病例分享
图片尺寸1080x692
松果体囊肿一例提供讨论!
图片尺寸512x512
【省立影像读片】松果体区肿瘤 21.07
图片尺寸960x720
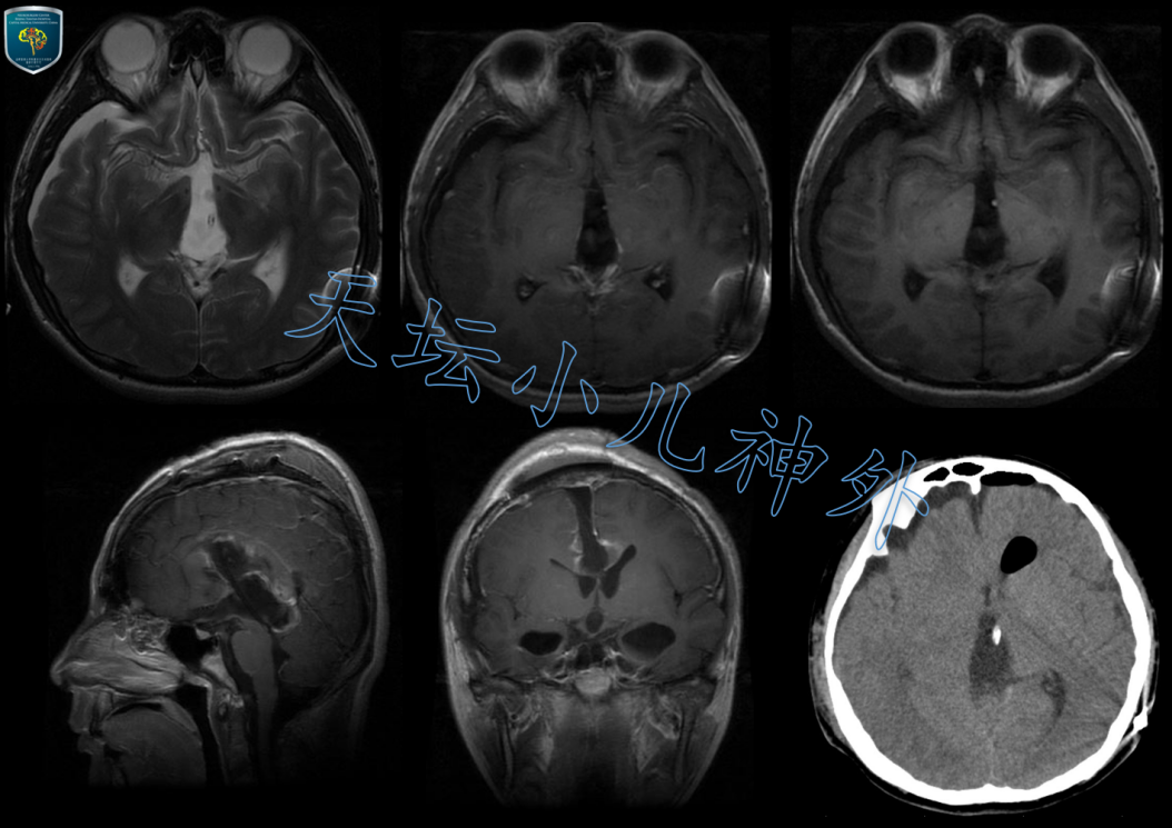
松果体区占位伴脑积水
图片尺寸792x962
外科治疗儿童松果体区肿瘤的"天坛术式"值得大力提倡_松果体瘤_松果体
图片尺寸1054x745
松果体占位提供讨论
图片尺寸512x512![松果体区占位,目前如何治? [病例帖]](https://i.ecywang.com/upload/1/img0.baidu.com/it/u=541607514,1851674643&fm=253&fmt=auto&app=138&f=JPEG?w=667&h=500)
松果体区占位,目前如何治? [病例帖]
图片尺寸3264x2448
【病例】松果体母细胞瘤1例ct及mr影像表现
图片尺寸512x512
松果体囊肿
图片尺寸532x596
所有分类 高等教育 医学 颅脑断面解剖ppt 颅脑,解剖 第三脑室 松果体
图片尺寸1080x810