极征红黑龙

【娱乐向】【怪物猎人边境g】弱鸡初见观光极征lv1000完全体红黑龙hge
图片尺寸653x408
【mhfz】【极征】"轰响于焦地劫焰的愤怒"—红黑龙lv9999惊悚讨伐记录
图片尺寸1229x768
极征红黑龙全动作演示
图片尺寸640x360
红黑龙
图片尺寸500x300
极征黑龙全行动集合
图片尺寸960x540
【mhfz】大剑 lv1000极征红黑龙
图片尺寸972x608
边境极征黑龙二阶段身体泛蓝所以装备上也出现了蓝色纹路盔甲骑士龙
图片尺寸658x657
白侠猫 《怪物猎人边境》g位任务 极证天翔龙初见
图片尺寸1728x1080
入院诊断: 1,21世纪医学综合征(3级 极高危); 2,脑 - 抖音
图片尺寸1032x1920
肺出血是由多种原因造成的一种临床综合征,儿童肺出血极易被忽视
图片尺寸1280x903
免疫力太低易患舍格伦综合征,发病症状隐匿,极易被忽略掉
图片尺寸640x357
嘴上手上长黑斑要警惕癌变风险极高的黑斑息肉综合征pjs
图片尺寸1080x514
《怪物猎人世界:冰原》煌黑龙单刷讨伐攻略
图片尺寸640x466
免疫力太低易患舍格伦综合征,发病症状隐匿,极易被忽略掉
图片尺寸640x514
【mhfz】翱翔苍穹所至的境地—天翔龙lv9999联机讨伐记录【极征任务】
图片尺寸1229x768
台湾光荣特库摩宣布《讨鬼传 极》中文版冬季发售
图片尺寸550x309
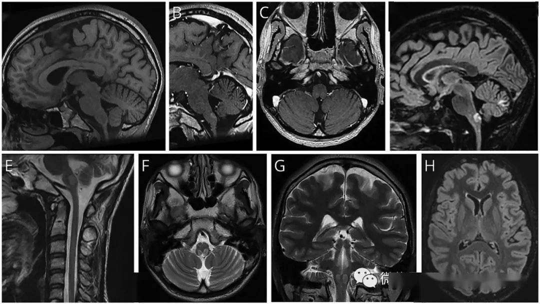
极后区综合征作为亚历山大病的首发表现
图片尺寸1080x608
这幅画妙极啦
图片尺寸775x900
极蒸
图片尺寸1033x572
这是交通事故中极少见的一种伤病,是最凶险的伤病之 - 抖音
图片尺寸920x1302