枕大池 部位

大枕大池是什么意思
图片尺寸1500x1000
大枕大池:常见解剖变异
图片尺寸920x1098
大枕大池及其鉴别诊断详解
图片尺寸525x568
大枕大池及其鉴别诊断详解
图片尺寸779x915
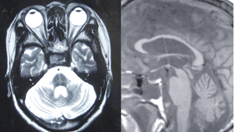
20240414_figure 6.18 mega cisterna magn
图片尺寸1297x864
大枕大池及其鉴别诊断详解
图片尺寸453x463
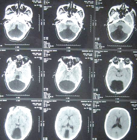
有人写大枕大池,有人说是枕大池蛛网膜囊肿,有依据吗?
图片尺寸806x498
大枕大池及其鉴别诊断详解
图片尺寸778x437
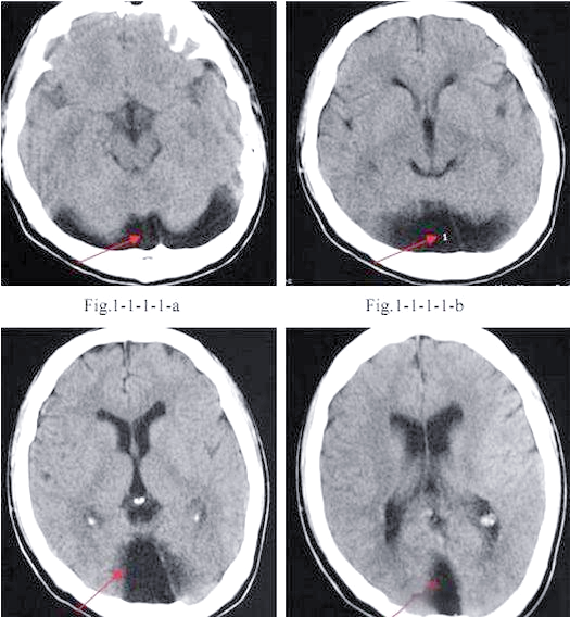
枕大池即为小脑延髓池,它位于颅后窝的后下部,延髓背侧面与枕<
图片尺寸254x249
大枕大池&蛛网膜囊肿,一文读懂它们是啥!
图片尺寸1200x1600
有人写大枕大池有人说是枕大池蛛网膜囊肿有依据吗今天我们就来讨论一
图片尺寸1080x445
大枕大池及其鉴别诊断详解
图片尺寸633x426
有人写大枕大池有人说是枕大池蛛网膜囊肿有依据吗今天我们就来讨论一
图片尺寸1080x447
手绘:大枕大池和枕大池囊肿
图片尺寸1704x1866
有人写大枕大池,有人说是枕大池蛛网膜囊肿,有依据吗?
图片尺寸1080x446
小脑延髓池(cerebellomedullary cistern)又称枕大池,位于颅后窝后
图片尺寸681x648
枕大池蛛网膜囊肿?一文读懂它!
图片尺寸1200x1600
脑里长了囊肿怎么办
图片尺寸1005x669
枕大池蛛网膜囊肿
图片尺寸785x872
浅层布有枕大神经和枕动,静脉.深层有腱膜下疏松组织和颅骨外膜
图片尺寸640x532