染色体核型

流产后有必要做流产物染色体检查吗?
图片尺寸1072x796
精准医学中心-染色体核型分析上线啦!
图片尺寸1232x912
人类染色体的核型
图片尺寸695x411
人类染色体的核型
图片尺寸553x765
【求助】求人类染色体g显带标准图谱或者口诀等
图片尺寸1524x1068
正常男性非显带核型(46,xy)着丝粒指数=短臂长度/该条染色体全长(2)
图片尺寸803x1221
费城染色体核型
图片尺寸1200x960
21-三体综合症患者的核型:第21对染色体的三体变异现象 national
图片尺寸640x689
染色体核型 (原创)
图片尺寸2464x1824
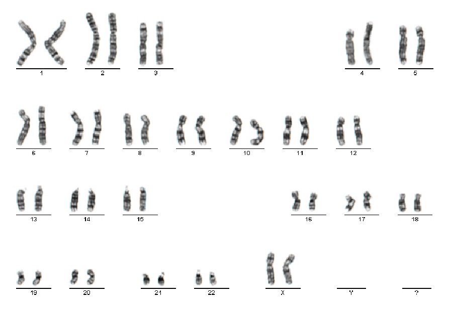
染色体核型配对分析工作站软件图像采集录像播放 随心所欲win7
图片尺寸895x642
教你看懂染色体核型分析报告
图片尺寸1080x1469
核型分析ppt
图片尺寸1080x810
图 1 鼠尾草属植物染色体形态图(左)及模式图(右)
图片尺寸3150x4044
染色体y长臂增加怎么治疗
图片尺寸783x1217
人类染色体核型分析ppt
图片尺寸1080x810
18-三体染色体核型
图片尺寸504x330
更高更准更美550条带染色体核型分析续
图片尺寸723x637
21三体染色体核型
图片尺寸1080x810
外周血淋巴细胞染色体常规检查及g显带核型分析是一项复杂的诊断技术
图片尺寸954x1325
4- 男性染色体组型 女性染色体组型
图片尺寸1080x810