标准牙弓

标准的牙弓形态图
图片尺寸600x368
牙弓分为椭圆形牙弓,尖圆形牙弓,方圆形牙弓三种
图片尺寸981x654
舌侧矫治技术的临床应用
图片尺寸400x269
明星医生|牙周科赵海霞医生团队:爱你所爱,医你所想
图片尺寸929x629
跟我认识ricketts多用途弓--周茂强
图片尺寸600x400
大众口腔
图片尺寸700x404
海外党矫正,扩牙弓方案和拔牙方案,求分析.
图片尺寸1080x810
李谷旭阳治疗季
图片尺寸1199x1599
what扩弓十天脸变了牙齿矫正中的扩弓还有这功能
图片尺寸743x287
挑战757575全网最奇怪牙型最窄牙弓
图片尺寸1080x1407
牙弓有几种形态正畸的标准是最后变成卵圆形牙弓嘛
图片尺寸1258x1678
哪些需要做牙齿矫正怎么选医院医生正畸真的可以瘦脸让脸型变好看吗
图片尺寸943x598
所谓字正腔圆,口腔里的牙弓也应该是卵圆形,才柔和
图片尺寸1080x1019
lh矫正与mbt直丝弓区别有哪些呢我们应该怎么选
图片尺寸800x1066
为了改善牙齿不齐,在成都贝臣做牙齿矫正一年多了.
图片尺寸945x1260
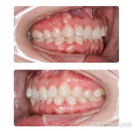
牙齿排列整齐,上颌牙弓形态明显改善,上下颌牙弓协调
图片尺寸834x400
预习功课你注意到牙弓狭窄案例的扩弓矫治变化吗
图片尺寸448x307
上颌牙弓像 & 下颌牙弓像术者体位:1)拍摄者站在
图片尺寸430x418
不做龅牙妹清新笑容这样炼成
图片尺寸999x579
有些朋友们会疑惑,如果带矫正器的话,它的扩牙弓
图片尺寸500x341