标准牙弓图片

标准的牙弓形态图
图片尺寸600x368
科普丨什么是牙弓如何看宽窄
图片尺寸640x454
全同步带状弓整牙日记(每周一更,完更)20年6月-24年3月
图片尺寸3024x2376
牙弓宽还是窄的人笑起来更好看呢? - 知乎
图片尺寸2500x2500
跟我认识ricketts多用途弓--周茂强
图片尺寸600x400
舌侧矫治技术的临床应用
图片尺寸400x269
hibeauty隐秀「牙弓狭窄 内倾型深覆合」案例分享
图片尺寸890x974
跟我认识ricketts多用途弓--周茂强
图片尺寸600x400
牙弓
图片尺寸981x654
像矫正不拔牙能矫正过来吗
图片尺寸500x309
【经验交流】多用途弓压低下前牙
图片尺寸1146x594
全同步带状弓矫治技术的优缺点有哪些? - 知乎
图片尺寸1536x2048
整个牙咋还请外援呢?
图片尺寸474x355
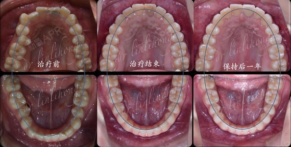
治疗前这个20岁的女生因为
图片尺寸570x289
有些朋友们会疑惑,如果带矫正器的话,它的扩牙弓
图片尺寸500x341
李谷旭阳治疗季
图片尺寸1199x1599
张口呼吸时,两侧脸部的颊肌张力增加,于是导致上颌牙弓的狭窄.
图片尺寸640x280
跟我认识ricketts多用途弓--周茂强
图片尺寸600x400
上颌牙弓像 & 下颌牙弓像术者体位:1)拍摄者站在摄影侧;2)助手站在
图片尺寸430x418
蔡庆玲正畸团队牙弓狭窄案例
图片尺寸1080x1384