标准牙齿图咬合

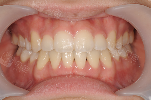
昌平牙齿齐不齐 来看看整齐的牙齿咬合标准图国医康
图片尺寸498x293
上,下颌骨大小比例不相称 人的牙齿咬合结构包含上颌骨和下颌骨
图片尺寸931x904
昌平牙齿齐不齐 来看看整齐的牙齿咬合标准图国医康
图片尺寸517x294
宝宝三岁了还爱吃手,牙齿咬合怎么能正常!
图片尺寸640x1004
牙齿不齐主要有哪些类型?
图片尺寸400x260
昌平牙齿齐不齐 来看看整齐的牙齿咬合标准图国医康
图片尺寸514x289
儿童牙套牙齿器隐形夜间磨牙龅牙地包天纠正不齐整牙澳洲 阶段(小号)
图片尺寸800x800
口内照对比也十分明显,牙齿排列整齐美观,咬合稳定.
图片尺寸570x530
牙齿咬合正常的标准应具备以下内容
图片尺寸690x703
图|牙齿拥挤不齐丨偏颌丨咬合不佳
图片尺寸1017x610
首先,找一块镜子或找到一个能反光的地方,然后牙齿咬合,张开嘴巴
图片尺寸500x386
标准的牙齿咬合到底是什么样的?
图片尺寸720x335
牙齿这样是不是咬合度有问题,本人20岁了,纠正需要多久?需要多久钱?
图片尺寸500x500
广州牙齿矫正杨露医生│牙列拥挤,前牙咬合关系不佳正畸案例
图片尺寸1400x581
苏州牙齿矫正-如何判断咬合是否正常?
图片尺寸640x316
图50 术后2 年前牙正面咬合面像(2019 年6月)
图片尺寸689x462
不想做矫正但咬合正常的牙齿 药物性变色牙 遗传性黄牙 牙齿有裂纹.
图片尺寸570x497
牙齿矫正会导致牙齿松动吗?
图片尺寸610x191
牙齿正常咬合时上下对不齐,大概是自己习惯不好导致.
图片尺寸1080x723
正常牙齿上下咬合图牙齿正常咬合图
图片尺寸500x889