树脂美学修复

《规范化树脂操作升华班(树脂美学修复)》郑州站
图片尺寸700x1697
树脂中的微型海洋景观美得太逼真了
图片尺寸750x938
复合树脂微创美学修复——前牙的修复
图片尺寸435x283
" 前牙树脂美学修复技术" 理论操作班_松风_课程_试用装
图片尺寸1029x574
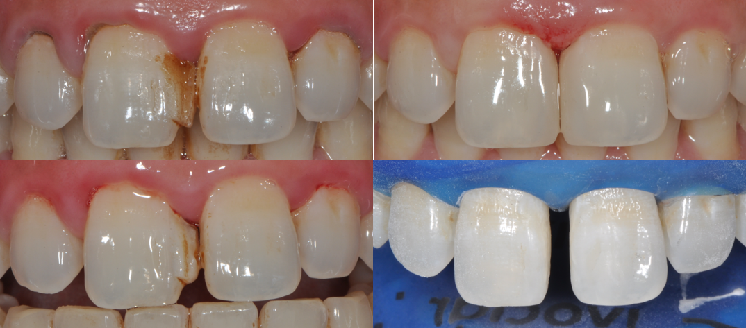
一例前牙树脂美学修复
图片尺寸5184x3456
前牙树脂美学修复
图片尺寸4037x2323
门牙美学树脂修复病例分享
图片尺寸900x604
前牙缺损的微创美学树脂直接修复病例
图片尺寸1031x3399
牙科材料充填器 树脂美学修复套装 口腔 树脂充填器6件套装
图片尺寸1000x1000
病例分享前牙树脂美学修复病例一例
图片尺寸640x383
做好前牙树脂修复,你需要了解的基本功_颜色_美学_的材料
图片尺寸771x1224
一例前牙树脂美学修复
图片尺寸5184x3456
美学树脂充填 – 精简的临床技术
图片尺寸1222x1841
前牙树脂美学修复这么一个大窟窿都能修复的完美无暇这波啊这波叫炫技
图片尺寸1728x1080
一例前后牙美学树脂修复
图片尺寸640x895
门牙美学修复树脂补牙
图片尺寸1712x1284
病例分享前牙树脂美学修复病例一例
图片尺寸558x337
郑州站2021年6月2830日马小寒老师规范化树脂操作升华班树脂美学修复
图片尺寸1074x473
今日分享意大利美学美塑树脂,门牙美学分层牙缝修补 #昆明牙齿修复
图片尺寸960x1280
门牙美学修复树脂补牙
图片尺寸1712x1284