核磁共振头颅

这些头颅mri伪影你见过几个
图片尺寸1078x689
颅脑mri检查序列及临床应用
图片尺寸800x483
头颅磁共振dwi高信号一定就是脑梗死吗?
图片尺寸600x668
几分钟就扫完的头颅mrimra是你想要的
图片尺寸792x478
高清颅脑mri最全轴位影像解剖人手一册
图片尺寸660x1167
几分钟就扫完的头颅mri mra,是你想要的?_时间_序列_矩阵
图片尺寸1041x630
收藏头颅核磁共振几个成像的意义
图片尺寸1200x900
太精华了头颅mri入门之易误诊影像系列
图片尺寸960x1215
原创脑胶质瘤的手术和术后放射治疗疗效追踪
图片尺寸1231x1041
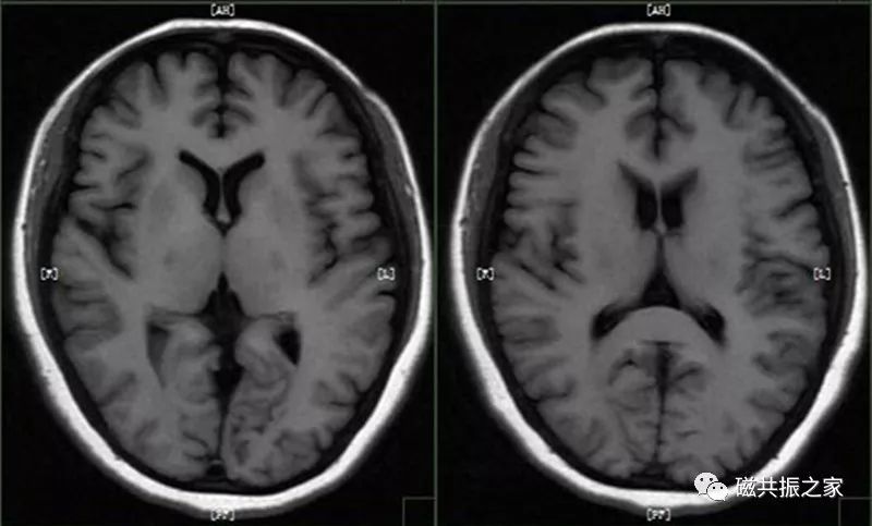
正常小儿颅脑的磁共振表现
图片尺寸640x480
何阿姨脑部磁共振检查图,标识部分为脑囊虫头节.广医二院供图
图片尺寸549x660
图为患者头部核磁共振影像,红色标记线上方的白色区域为寄生虫.
图片尺寸540x540
扫盲头颅mri该如何扫描
图片尺寸909x464
为了更好显示病变,磁共振室于2018年12月7日下午,为患者做了核磁增强
图片尺寸750x1000
术前头部核磁共振(mri)
图片尺寸641x321
基础必备头颅mri读片知识
图片尺寸1080x810
头颅磁共振dwi高信号一定就是脑梗死吗?_手机搜狐网
图片尺寸600x643
jaman容易忽视的低颅压mri征象
图片尺寸500x547
头颅磁共振dwi高信号一定就是脑梗死吗?
图片尺寸600x682
头颅磁共振dwi高信号一定就是脑梗死吗?
图片尺寸600x598