根尖片

右侧根尖片
图片尺寸640x444
根尖周病的x片临床表现
图片尺寸440x250
根尖片医疗辐射是人类接触电离辐射的最主要来源,x线,ct,放射治疗都会
图片尺寸408x422
根管治疗器械分离
图片尺寸980x736
术前x线根尖片
图片尺寸2000x3556
全口曲断片初诊口内照患者首诊正面照2.
图片尺寸989x561
牙片怎么拍什么情况下医生会建议拍
图片尺寸1200x800
病例分享根管治疗诊间急症
图片尺寸700x518
根尖片医疗辐射是人类接触电离辐射的最主要来源,x线,ct,放射治疗都会
图片尺寸408x422
初诊全口根尖片
图片尺寸633x205
术前的x线根尖片影像检查:47远中牙根吸收.
图片尺寸635x597
一般看牙都是要拍根尖片的,要看看你龋坏的范围,牙根和根周围的情况
图片尺寸846x462
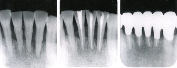
达到诊断质量的根尖片(x 光片取自笔者治疗过的病人)
图片尺寸542x192
虽然根尖片对口腔医生诊断牙病有很大帮助,但并不意味着一张根尖片就
图片尺寸1280x1780
初始上下前牙根尖片初始头颅侧位片46根尖炎症,已做过根管治疗18缺失
图片尺寸1080x697
各类根尖周病的x片表现
图片尺寸467x263
一起来看片一根尖片的正常图像及应用
图片尺寸400x265
下颌第三磨牙阻生及其拔除导致邻牙牙周炎形成的原因
图片尺寸378x158
教科书上对理想根管充填的定义为:根尖片中根管充填材料到达的垂直
图片尺寸570x218
下颌磨牙近中根管
图片尺寸2560x1080