根管断针

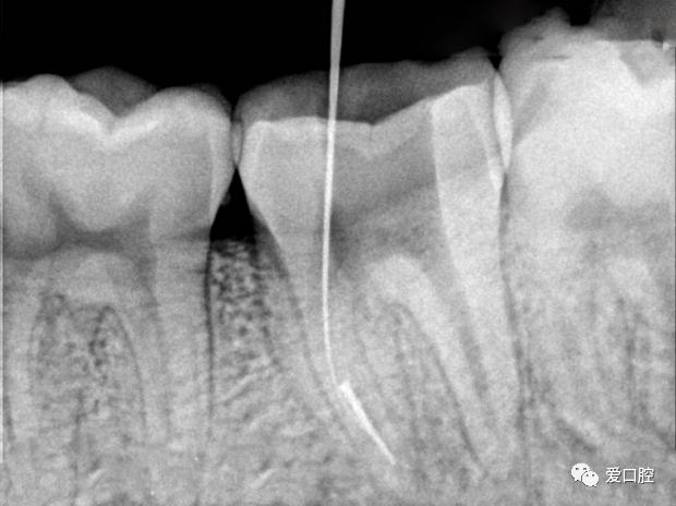
对取根管内断针的一点经验
图片尺寸620x464
尊敬的医生,我做根管治疗时断针,现在牙齿没有症状,请问下一步该如何
图片尺寸2048x1536
取断针
图片尺寸1080x1439
两例根管内断针取出
图片尺寸1198x1805
79再取一断针
图片尺寸1080x806
两例根管内断针取出
图片尺寸1797x1198
改善服务 | 层级转诊让牙内断针不再是噩梦
图片尺寸1080x862
牙科根管取断针 超声取断针刀头 根管锉取出器 超声取断针工作尖
图片尺寸732x732
两例根管内断针取出
图片尺寸1797x1198
如果患者的牙体问题到了做根管治疗的田地还是较为
图片尺寸1023x682
大胆的争议的取断针法 后怕不后悔 左宗波
图片尺寸620x411
两例根管内断针取出
图片尺寸1797x1198
乐极生悲的m3,断针!
图片尺寸500x375
根管治疗后断针需要告知患者吗又该怎么赔偿
图片尺寸1080x629
根管断针取出
图片尺寸409x291
做根管治疗要多少钱?
图片尺寸620x448
医院将断针留患者体内 瞒病人二次手术仍没取出
图片尺寸640x451
求指导怎么取断针啊啊啊
图片尺寸1080x1440
根管治疗断针原因及处理
图片尺寸670x447
根管治疗断针了,问题大吗?
图片尺寸655x1200