根管治疗图片片子

精确的根管治疗术后片
图片尺寸1080x1920
关于近几天根管治疗充填案例的争议汇总
图片尺寸612x440
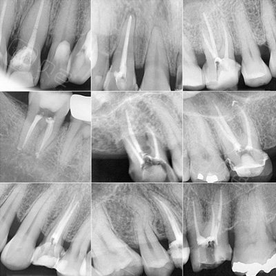
近两个月完成的部分根管治疗xray余朝峰
图片尺寸620x449
根管治疗后牙体缺损修复可以换个思路--曹申
图片尺寸620x782
远中邻合面大面积龋坏至龈下,障下双成型片法龈壁提升,根管治疗 - 抖
图片尺寸1918x1240
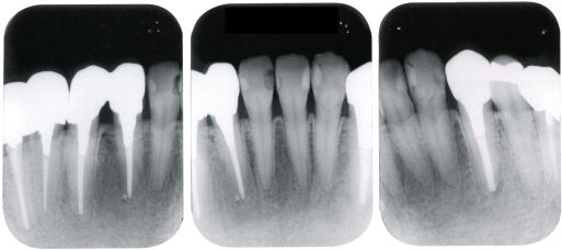
近期根管治疗x线片
图片尺寸620x448
下六五根管治疗一例
图片尺寸516x740
根管治疗超强解析!
图片尺寸850x445
根管治疗策略是取决于其是否感染
图片尺寸513x228
南京根管治疗一颗牙齿多少钱?有没有一次性搞定的那种?
图片尺寸400x400
根管治疗策略是取决于其是否感染
图片尺寸514x229
后牙根管治疗
图片尺寸1200x1600
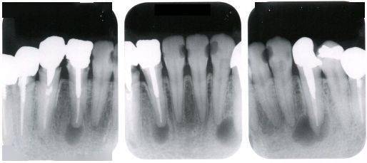
近期根管治疗x线片
图片尺寸620x448
病例分享根管治疗诊间急症
图片尺寸700x518
为什么做了根管治疗后牙齿还疼?浅谈根管治疗失败的原因.
图片尺寸720x398
病例分享根管治疗诊间急症
图片尺寸700x518
一次性根管治疗病例
图片尺寸3402x1776
自己做完根管治疗后才发现是真的不疼 关键看医生技术
图片尺寸1080x1080
发几张根管治疗的片子北京黄巍
图片尺寸620x472
后牙根管治疗
图片尺寸1200x1600