桡切迹

骨及其连结(人体解剖学)教学课件,很好的 桡骨环状关节面 尺骨桡切迹
图片尺寸1080x810
尺骨下端称尺骨头,其前,外,后三面有环状关节面,与桡骨的尺骨切迹相关
图片尺寸692x714
图片
图片尺寸457x504
尺骨(ulna):位于前臂内侧.上端:桡切迹.鹰嘴,冠突,滑车切迹.
图片尺寸720x640
主要结构有鹰嘴,滑车切迹,尺骨头,桡切迹,尺骨茎突等.
图片尺寸330x351
侧关节的关节头由桡骨头的桡骨环状关节面,关节窝由尺骨的桡切迹构成
图片尺寸800x669
关节(proximal radioulnar joint):由桡骨环状关节面和尺骨桡切迹构成
图片尺寸525x559
腕管综合征 - 知乎
图片尺寸720x562
腕关节(冠状切面)(图片)
图片尺寸640x480
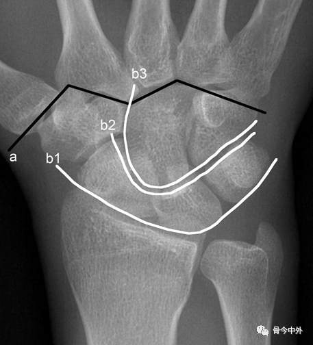
继续查看该图片可能引起不适桡骨尺侧乙状切迹的中点与桡骨茎突最高点
图片尺寸637x463
骨科基础:前臂局部解剖|桡骨|关节|肱桡肌|屈曲|尺骨_网易订阅
图片尺寸660x657
肱尺关节 由肱骨滑车与尺 骨半月切迹构成, 属于蜗状关节, 是肘关节的
图片尺寸1080x810
为什么割腕会死人而断臂的人却能活着
图片尺寸640x531
尺骨和桡骨怎么区分
图片尺寸773x586
鱼际间隙感染
图片尺寸593x410
前者为肘关节的一部分,桡尺远侧关节由桡骨的尺切迹及其下方的三角形
图片尺寸624x503
手三里shousanli(li10)【定位】在前臂背面桡侧,当阳溪与曲池连线上
图片尺寸1633x1021
骨连结上肢骨的连接_第4页
图片尺寸920x690
颈静脉切迹 胸骨柄 胸 骨 角 胸骨体 剑突
图片尺寸1080x810
解剖学知识总结
图片尺寸1080x810