桥小脑角

【省立影像读片】桥小脑角区病变 21.03
图片尺寸960x720
桥小脑角综合征
图片尺寸1728x1080
医院医疗机构培训课件桥小脑角区肿瘤病人的护理ppt
图片尺寸920x517
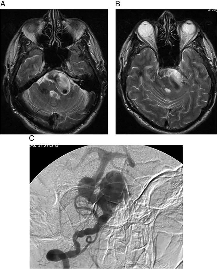
桥小脑角区肿瘤性病变的影像鉴别诊断
图片尺寸640x531
听神经瘤是桥小脑角区最常见肿瘤,狭小的空间里不光9610根颅 - 抖音
图片尺寸1919x1231
蜗神经43 颞骨岩部17大脑纵裂池 大脑外侧窝池 桥池 脑桥小脑角池47
图片尺寸1080x810
ppt 80页
图片尺寸1152x864
桥池 3.基底动脉 4.脑桥小脑角池 5.颞骨岩部 6.小脑 7.
图片尺寸1080x810
医院医疗机构培训课件桥小脑角区肿瘤病人的护理ppt
图片尺寸920x517
anterior inferior cerebellar artery 小脑前下动脉 pyramid 锥体
图片尺寸1080x810
脑桥小脑角综合征临床解剖
图片尺寸920x690
2018住培系列讲座第41期成人桥小脑角区占位性病变影像诊断思路
图片尺寸960x720
最新桥小脑角解剖精品课件
图片尺寸920x1302
桥小脑角区肿瘤性病变的影像鉴别诊断
图片尺寸920x1302
桥小脑角区的上中下复合体
图片尺寸3508x2480
多图桥小脑角区正常影像解剖及常见病变
图片尺寸900x595
桥小脑角区肿瘤ppt演示课件
图片尺寸920x690
桥小脑角区占位性病变诊断与鉴别doc34页
图片尺寸993x1404
颞叶 桥臂 桥脑 小脑蚓部
图片尺寸1080x810
15张图谱轻松掌握:桥小脑角区正常解剖及常见病变
图片尺寸734x900