梨形心烧瓶心靴形心

梨形心靴形心烧瓶心这也样看平片想不会都难
图片尺寸1080x493
普大型心梨形心靴形心的片子究竟怎么看啊丁香园
图片尺寸584x539
普大型心梨形心靴形心的片子究竟怎么看啊丁香园
图片尺寸453x428
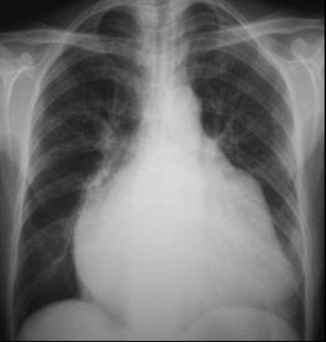
诊断:○ 靴型心○ 梨形心○ 普大型心脏○ 正常心脏○ 以上均不是病史
图片尺寸1080x411
要么是心脏本身增大(心包积液—烧瓶心)要么是心包里面灌了水普大型
图片尺寸610x722
梨形心靴形心烧瓶心这也样看平片想不会都难
图片尺寸1040x852
梨形烧瓶
图片尺寸318x430
梨形心,靴形心,烧瓶心总结_哔哩哔哩_bilibili
图片尺寸960x448
梨形烧瓶 鸡心瓶25 50 100 150 250ml 19#24#29#实验室用加厚耐高温高
图片尺寸300x300
贪心杯耀州瓷公道杯贪心杯倒流壶陶瓷酒具酒杯创意酒壶古典中式家用
图片尺寸790x1645
无忧文档 所有分类 医药卫生 心脏瓣膜病1 梨形心 胸片 靴型心 并发症
图片尺寸1053x605
由心入境以器为形
图片尺寸750x998
【求助】普大型心,梨形心,靴形心的片子究竟怎么看啊
图片尺寸614x663
普大型心梨形心靴形心的片子究竟怎么看啊丁香园
图片尺寸640x480
1 例慢性冠心病患者的 2 张心电图报告
图片尺寸617x721
梨形心靴形心烧瓶心一文教你识别
图片尺寸1080x890
梨形心
图片尺寸465x487
3. 靴型2.
图片尺寸814x495
原创咏三角形的五心
图片尺寸690x224
三角形的四心
图片尺寸804x447