梨状隐窝

课件@中国医科大学_系解5-内脏学1(消化,呼吸)ppt (三)喉咽 梨状隐窝
图片尺寸1080x810
咽 pharynx 咽鼓管咽口 梨状隐窝 咽鼓管 圆枕 咽隐窝
图片尺寸1080x810
梨状隐窝图片
图片尺寸1500x1000
我妈妈的喉部扫描: 左侧梨状窝变浅 医生建议进一步检查.
图片尺寸356x224
甲状软骨 食管
图片尺寸1080x810
舌骨体4 会厌前间隙5 下颌下腺6 喉咽8 梨状隐窝9
图片尺寸1080x810
梨状隐窝
图片尺寸186x220
咽部,咽腔空间较大,可取远景,近景依次观察咽喉部及左侧,右侧梨状隐窝
图片尺寸1080x407
境界 前—甲状软骨 外—甲状软骨 内—方形膜,弹性圆锥 后—梨状隐窝
图片尺寸1080x810
系统解剖学消化系统循环播放ppt17页
图片尺寸1152x864
儿童颈部反复感染化脓带你了解先天性梨状窝瘘
图片尺寸620x598
梨状隐窝在哪?
图片尺寸537x530
梨状肌损伤ppt
图片尺寸800x600
系统解剖图1 rectosigmoid junction 直肠乙状结肠连接部,2 sacrum
图片尺寸640x764
骨性鼻腔 骨性鼻腔前方的开口叫梨状孔,后方的一对开口叫鼻后孔,筛骨
图片尺寸750x480
原来喉返神经真的是在梨状隐窝侧面
图片尺寸2000x2667
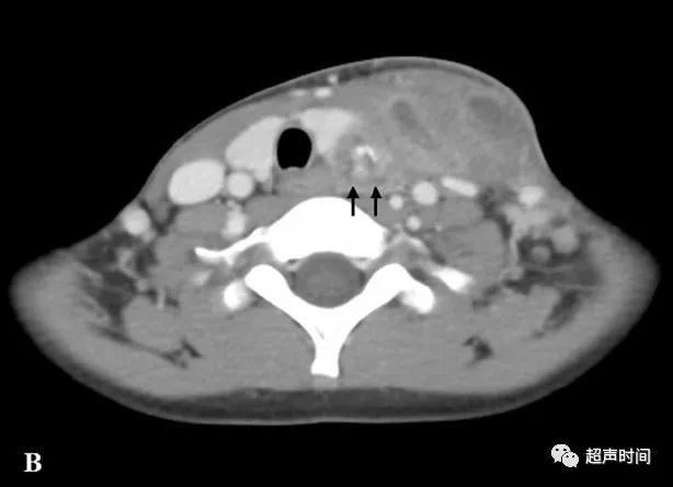
超声高手进阶累及甲状腺的梨状隐窝瘘
图片尺寸614x445
超声高手进阶累及甲状腺的梨状隐窝瘘
图片尺寸547x424
第二次人体解剖学实物标本考试复习答案ppt
图片尺寸1080x810
超声高手进阶累及甲状腺的梨状隐窝瘘
图片尺寸668x421