楔状缺损黑色

牙齿楔状缺损是怎么回事儿?
图片尺寸600x553
楔状缺损的修复
图片尺寸1080x810
除此以外,对于一些前牙缺损特别是前牙楔状缺损,还会采用牙齿贴面的
图片尺寸443x280
啥是楔状缺损?
图片尺寸1920x1080
可见于龋齿牙髓炎根尖周炎牙外伤牙本质过敏楔状缺损等牙痛的同时患者
图片尺寸640x478
(牙颈部,牙根的小洞)楔状缺损反复补反复掉怎么办—— 超薄局部微贴
图片尺寸1190x1050![一例楔骨骨折伴脱位,请指导治疗 [病例帖]](https://i.ecywang.com/upload/1/img1.baidu.com/it/u=3246573370,3958133111&fm=253&fmt=auto&app=138&f=JPEG?w=500&h=375)
一例楔骨骨折伴脱位,请指导治疗 [病例帖]
图片尺寸992x744
额上回 额中回 中央前回 中央沟 中央后回 缘上回 中央旁小叶 楔前叶
图片尺寸1080x810
应该保留牙齿尽早做再植手术八,牙齿的慢性损伤牙颈部楔状缺损牙冠劈
图片尺寸1968x1476
伸肌(肌腱),4 第2跖骨(头),5 跗跖关节,6 趾长屈肌(肌腱),7 中间楔骨
图片尺寸476x387
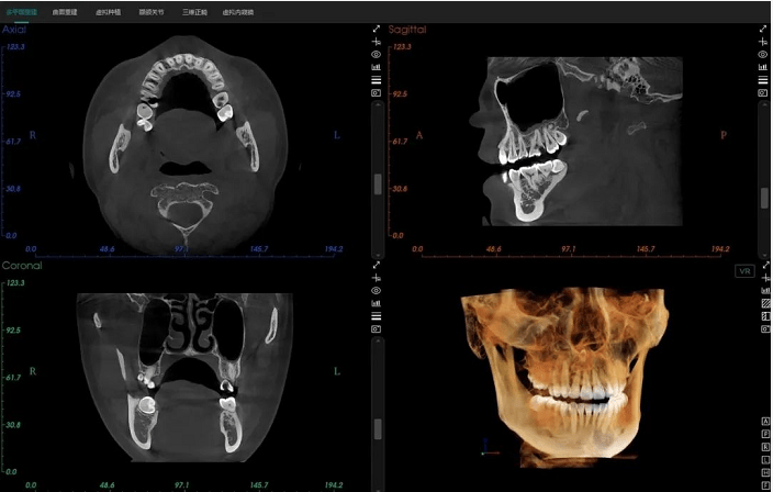
这台有"ai"的口腔cbct来了!
图片尺寸704x448
今日学习分享:楔状缺损,一个小小的缺损,殊不知有这么多补牙的讲究
图片尺寸1080x1440
根尖炎症上颌窦形态观察颌面外伤楔状缺损牙周病智齿买61买买69买
图片尺寸661x423
不仅有右足多发性跖骨骨折伴右内踝骨折,还有右足中,外侧楔状骨骨折
图片尺寸1080x1374
下部及叶柄被开展糙毛;基生叶数枚,心状五角形,中裂片楔状菱形或菱形
图片尺寸1440x1920
楔骨的3d解剖
图片尺寸1630x1018
位像解剖:此层面开始看到跟骨载距突和中距下关节,中间楔骨和第二跖骨
图片尺寸943x627
伸肌(肌腱),4 第2跖骨(头),5 跗跖关节,6 趾长屈肌(肌腱),7 中间楔骨
图片尺寸443x431
原创 烧哥口腔社 昨天 我要分享 这叫做楔状缺损,并不是因为洗牙造成
图片尺寸640x395
矢状位(矢状面)冠状位-跖楔关节水平冠状位-舟骨水平冠状位-舟骨粗隆
图片尺寸660x484