楔缺牙齿怎么修补

口腔健康 #牙医 #牙痛 楔状缺损的修补 适宜的牙刷有助 - 抖音
图片尺寸1440x1920
️楔状缺损~被无意中刷出来的"坑"🙀🙀 🦷牙齿楔缺是什么?
图片尺寸958x1280
其实不制备洞型才是不安全的,首先是其固位不能得到保证,再者,暴
图片尺寸1280x1706
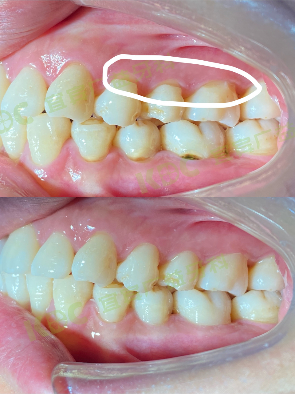
记录📝##补牙##牙齿楔状缺损##楔状缺损
图片尺寸681x918
教你三招预防牙齿楔状缺损!
图片尺寸1414x2000
楔状缺损:牙齿的唇,颊或舌面牙颈部的硬组织,在机械摩擦,酸蚀 - 抖音
图片尺寸1440x2818
牙齿楔状缺损怎么补才能更牢靠/补牙小技巧 楔状缺损在是很常见的牙体
图片尺寸1280x1706
楔状缺损补牙/敏感 祝大家新年快乐🎉,在家快快乐乐的休息吧
图片尺寸964x1280
27岁女子长期横向刷牙,导致牙齿缺损!天天刷牙,竟然都刷错了?
图片尺寸545x671
其实不制备洞型才是不安全的,首先是其固位不能得到保证,再者,暴
图片尺寸1280x1706
什么是牙齿楔状缺损怎么预防?
图片尺寸1284x1706
有个洞 要补吗7号牙内侧有洞用什么修补好牙齿楔状缺损不蛀牙一定要补
图片尺寸1242x1660
楔状缺损补牙/敏感 祝大家新年快乐🎉,在家快快乐乐的休息吧
图片尺寸1015x1280
牙齿没有自我修复功能,牙齿缺损时,就需要进行补牙.
图片尺寸1080x1440
不可忽视的口腔问题——楔状缺损
图片尺寸361x287
牙齿缺失怎么办?3种修复方式优缺点大盘点
图片尺寸1472x1968
护牙 #牙齿保护 #牙齿敏感 #牙齿发炎 #爱护牙齿 #牙齿保护计划
图片尺寸1245x1660
牙齿冷热敏感.
图片尺寸1440x1920
其实,牙齿残冠的边缘,会像利刃一般摩擦口腔黏膜,引发创伤性口腔溃疡.
图片尺寸1920x2560
它是牙齿颈部经过缓慢消耗而形成的缺损,呈"v〞 状,由于它外形酷似
图片尺寸960x1280