次级卵母细胞图片

(2)次级卵泡 卵泡细胞间出现卵泡腔 形成卵丘 初级卵母细胞 透明
图片尺寸1080x810
什么原因导致卵子质量差
图片尺寸759x342
初级卵泡继续生长成为次级卵泡,卵泡体积更大,卵泡细胞增至6~12层
图片尺寸637x435
我的卵子是否完美?
图片尺寸1096x770
卵母细胞
图片尺寸800x500
制作 用心良苦 分享知识 共同提高 次级卵母细胞完成第二次成熟分裂
图片尺寸1080x810
卵母细胞
图片尺寸1116x1100
次级卵母细胞
图片尺寸1080x1439
母畜的发情生理ppt
图片尺寸1080x810
出生前,卵巢中已有数百万个卵母细胞形成,经过儿童期,青春期,到成年也
图片尺寸400x269
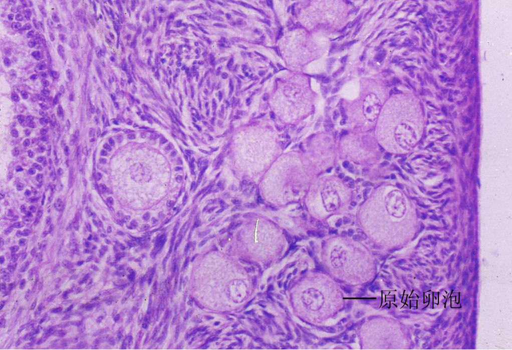
原始卵泡 (primordial follicle) · (1)初级卵母细胞: primary
图片尺寸1080x810
注意区分第一极体和次级卵母细胞
图片尺寸1080x810
迫使 a target="_blank" href="/item/初级卵母细胞/5955642" data
图片尺寸1022x700
发育特点 原始卵泡 ① 分 初级卵泡 阶 段 进 次级卵泡 行 第17页 (共
图片尺寸1080x810
67,卵巢(次级卵泡)
图片尺寸1080x810
(图:卵母细胞成熟经历三个阶段:gv-mi-mii)
图片尺寸560x205
前24 h内,初级卵母细胞恢复并完成第一次减数分裂,形成次级卵母细胞
图片尺寸576x203
初级卵母细胞超微结构模式图
图片尺寸1080x810
在月经期间可以服用女版勃锐精吗
图片尺寸1328x957
目前,光镜下卵母细胞形态的观察仍是临床上最常用的评估和选择卵母
图片尺寸500x313