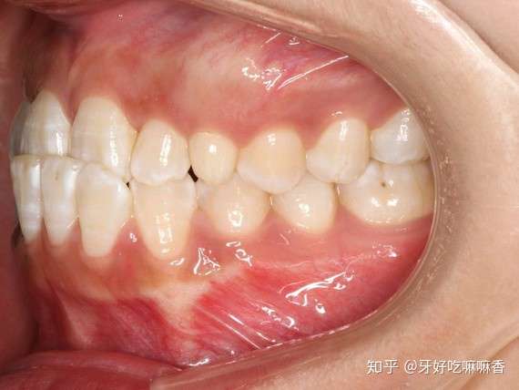
正常下牙齿图片

结束才发 是因为最近我翻到以前的照片 才发现一口整齐牙齿是多么的
图片尺寸769x1024
朋友在美容院,无相关资质人员那里进行牙贴面之后,牙齿出现种种问题
图片尺寸720x781
正常的牙齿位置是怎么样的?
图片尺寸720x427
我的下牙有点歪 是什么原因啊
图片尺寸612x816
以前牙齿下排有颗拔了长不出来,后来牙齿去矫正,完后牙齿后还有牙缝
图片尺寸1200x1600
想问一下我的牙齿算正常吗?因为侧面看下巴有点内缩,下巴有点短
图片尺寸1008x1008
研究换季必备精华时多关注下孩子的牙齿
图片尺寸600x450
【牙齿】24 岁小姐姐下定决心整牙第一天_整牙_牙套_矫正牙齿_美妆_医
图片尺寸1080x1080
我的下排牙齿又凌乱又拥挤以前糙愣是没觉得有什么这一两年不知怎么就
图片尺寸570x379
宝妈分享贴儿童牙齿对刃是怎么矫正比较好
图片尺寸600x303
怎么才算正常牙齿3
图片尺寸1023x683
今天复查的又拍了下牙齿的照片看看牙齿移动的情况
图片尺寸570x443
牙齿对颜值的影响有多大
图片尺寸2289x1526
牙齿变白小心是脱矿
图片尺寸570x428
大家可以对着镜子自测一下,如果牙齿咬合的状态下,上前牙盖过下前牙
图片尺寸640x426
请问我的牙齿正常吗
图片尺寸768x1024
深圳牙齿矫正:只有下排牙齿粘了托槽正常吗
图片尺寸1080x1440
请问uu,医院可以只整上排牙齿吗?
图片尺寸1080x811
门牙过大,二次矫正,咬合非常不正常|疾病|牙齿|门牙_新浪新闻
图片尺寸1318x878
正常牙龈和牙龈萎缩照片,年轻人牙龈萎缩自愈吗,牙齿修复-8682赴韩
图片尺寸750x500