正常人尾椎骨x光片图

摔了一跤怀疑尾骨骨折或骨裂,去拍了片子遇到个庸医
图片尺寸596x645
尾骨骨折是一种怎样的体验? - 知乎
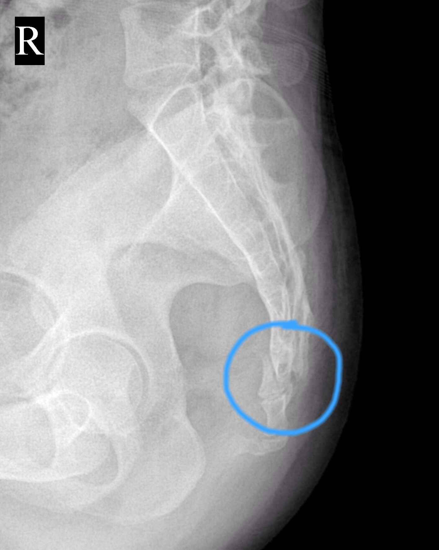
图片尺寸1416x1772
x13837尾骨侧位片
图片尺寸375x500
看图论病(尾椎骨折)
图片尺寸1728x2304
那么,如何拍出高质量的骶尾骨正侧位片?
图片尺寸1080x608
三,治疗效果住院治疗7天后,患者尾椎骨疼痛,肿胀症状较入院前明显减轻
图片尺寸891x1097
骶尾椎正侧位x线影像技术.收藏@#医学影像 #医学科普 #知 - 抖音
图片尺寸720x1348
【求助】影像医生求助,骶尾骨正常解剖变异图片
图片尺寸800x599
来源网络附病例(x线 ct)另外,骶尾骨骨折,特别是尾椎脱位的诊断还要和
图片尺寸596x403
骨折
图片尺寸508x400
附病例(x线 ct):另外,骶尾骨骨折,特别是尾椎脱位的诊断还要和临床
图片尺寸596x420
摔了一跤怀疑尾骨骨折或骨裂,去拍了片子遇到个庸医
图片尺寸552x678
骶尾部骨折
图片尺寸1944x2592
最近腰部下方疼痛无力 差不多一个星期 去医院检查拍片子是 尾椎l5向
图片尺寸1075x720
所以今天去拍了个x光,下面有图,请知道的专家帮忙仔细看看,在这片子
图片尺寸598x800
坐下时被拉开椅子摔在地上了,去医院拍了x光,说是尾5椎体向上明显移位
图片尺寸1944x2592
有没有大神帮我看下,这个片子,尾椎骨疼痛,拍片子,医生说正常,回家
图片尺寸1280x2276
你所知道最冷的医学知识是什么?
图片尺寸720x959
尾骨骨折
图片尺寸800x600
1例尾骨骨折并脱位
图片尺寸985x1512