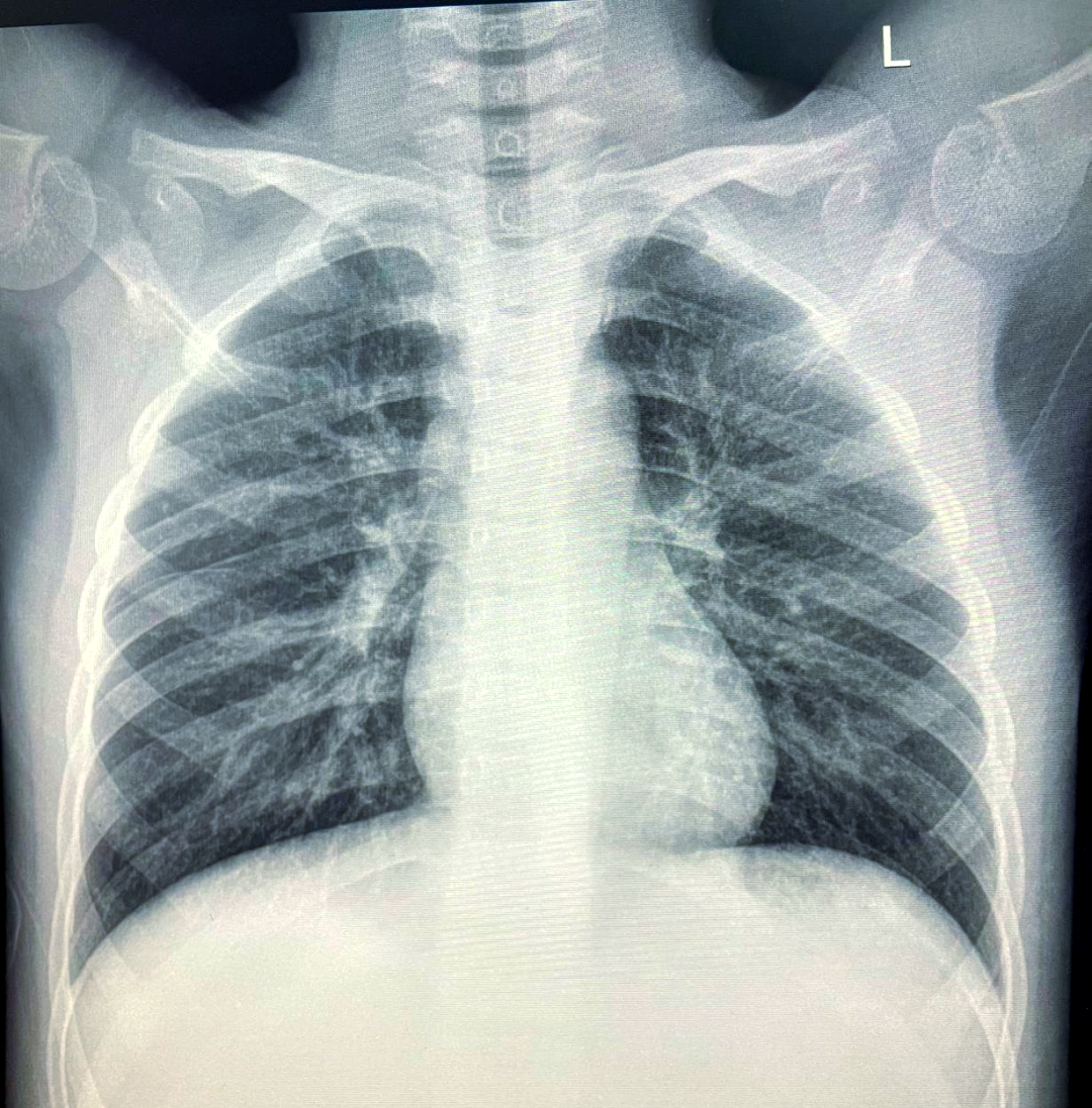
正常人的胸片

通过对比正常胸部正位片与未脱内衣的胸部正位片,我们可以清晰地看到
图片尺寸937x895
x线正常胸片
图片尺寸1128x1021
正常肺
图片尺寸1280x1706
医学影像检查方法,通过x射线技术,能够清晰地展示人体胸部的内部结构
图片尺寸960x1280
正常胸片.jpg
图片尺寸655x706
学习胸片🩻@锦绣前程的一生的动态
图片尺寸1170x1919
「健康科普指南」如何拍摄高质量的胸片?
图片尺寸1080x1097
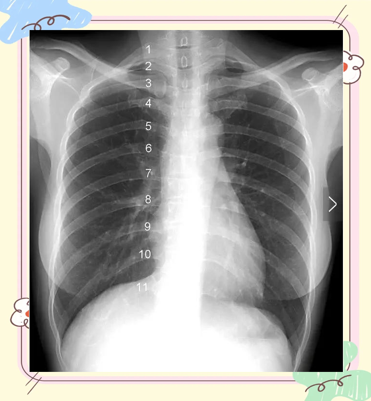
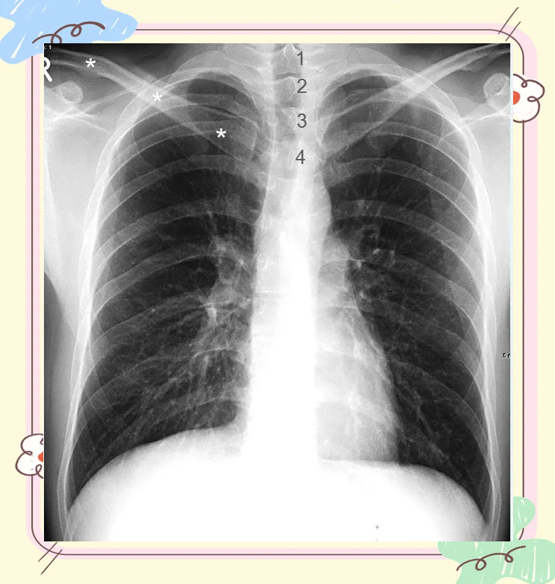
x线入门|正常胸片的分析与解读方法
图片尺寸766x827
📘放射科入门:支气管炎胸片解读
图片尺寸1080x1411
胸片(肺结核合集3)
图片尺寸1080x1122
肺癌伴胸腔积液,因由何在?
图片尺寸1735x2048
再讲讲胸片里面的肺纹理增粗和斑片影
图片尺寸1008x920
胸片侧位标准片
图片尺寸1080x1214
x线胸片常见影像学征象及意义汇总
图片尺寸938x930
胸片能揭示的脊柱健康信息,医生与家长必看
图片尺寸1080x1345
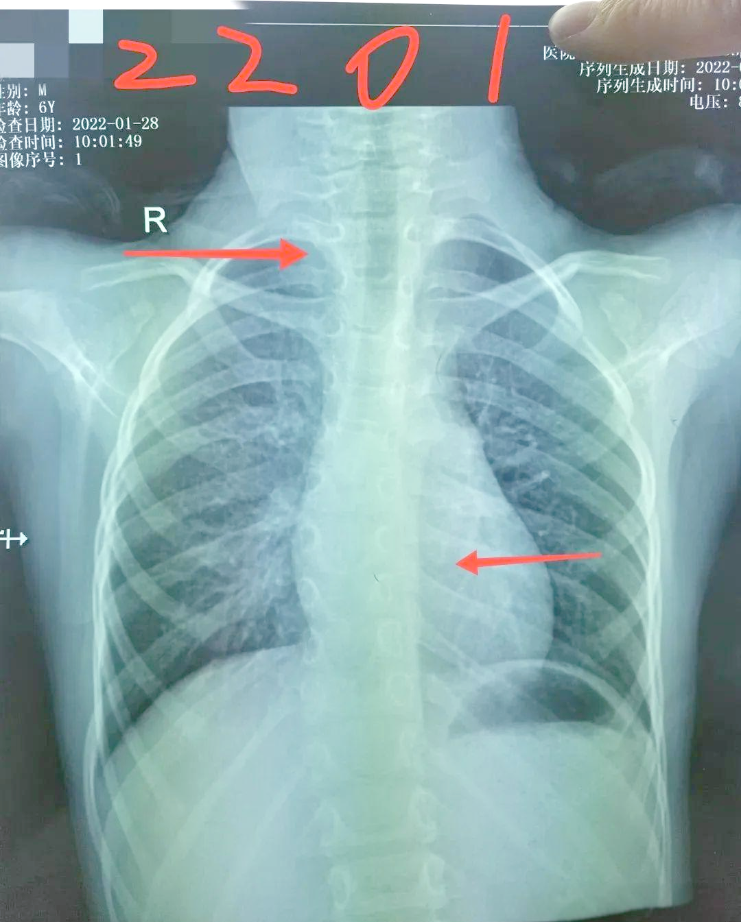
胸片检查小插曲,金属扣子惹的祸😅
图片尺寸800x899
胸片问题讨论
图片尺寸1440x1890
📘放射科入门:支气管炎胸片解读
图片尺寸1080x1410
x线入门|正常胸片的分析与解读方法
图片尺寸782x823
胸部前后位
图片尺寸1440x1920