正常牙齿形状 咬合

标准的牙齿咬合到底是什么样的? - 知乎
图片尺寸3216x2136
什么是正常的咬合
图片尺寸2572x2015
正常的咬合是什么?
图片尺寸1280x1280
正常的咬合是什么?
图片尺寸1280x960
测一测:你的咬合关系是否正常!
图片尺寸1440x925
正常的咬合是什么?
图片尺寸1280x1280
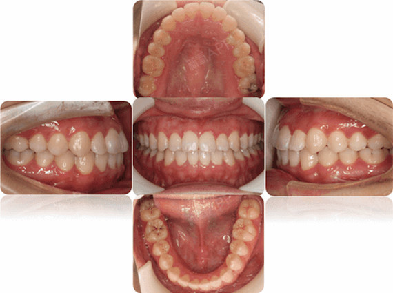
公布长沙深覆合深覆盖正畸价格深覆合深覆盖牙齿矫正费用
图片尺寸500x395
牙齿矫正
图片尺寸570x425
深覆合 正常的牙齿咬合,是上前牙盖过下前牙的距离不超过下前牙
图片尺寸990x649
为什么牙齿咬合很重要
图片尺寸545x359
隐形矫正治疗周期:15个月矫正前后面像对比女生牙齿拥挤严重,牙齿咬合
图片尺寸2364x1296
正常标准的牙齿咬合图 图源www.waasee.com
图片尺寸600x345
"虎牙"的隐形矫治,还牙齿本来的样子
图片尺寸570x869
牙齿正常咬合图
图片尺寸681x362
这样的牙齿咬合正常吗
图片尺寸450x800
正常牙齿咬合图片
图片尺寸480x300
什么是牙齿咬合不齐?咬合问题,自侧一下吧!
图片尺寸690x703
上下牙齿中线不对齐所致的咬合不齐,下牙前突,右侧上下第二颗前牙反
图片尺寸1000x668
正常的咬合图片侧面,正常咬合牙齿侧面图_大山谷图库
图片尺寸500x334
有没有牙齿很整齐咬合也正常单纯因为嘴凸去矫正牙齿的小伙伴? - 知乎
图片尺寸845x339