正常猫心脏x光

中的右心房侧位片中的左心房对于猫来说,胸部x光片很难判读心脏的大小
图片尺寸200x288
母猫绝育手术全记录
图片尺寸618x800
猫咪"甜蜜的负担",当患有糖尿病时,应如何治疗?
图片尺寸1080x695
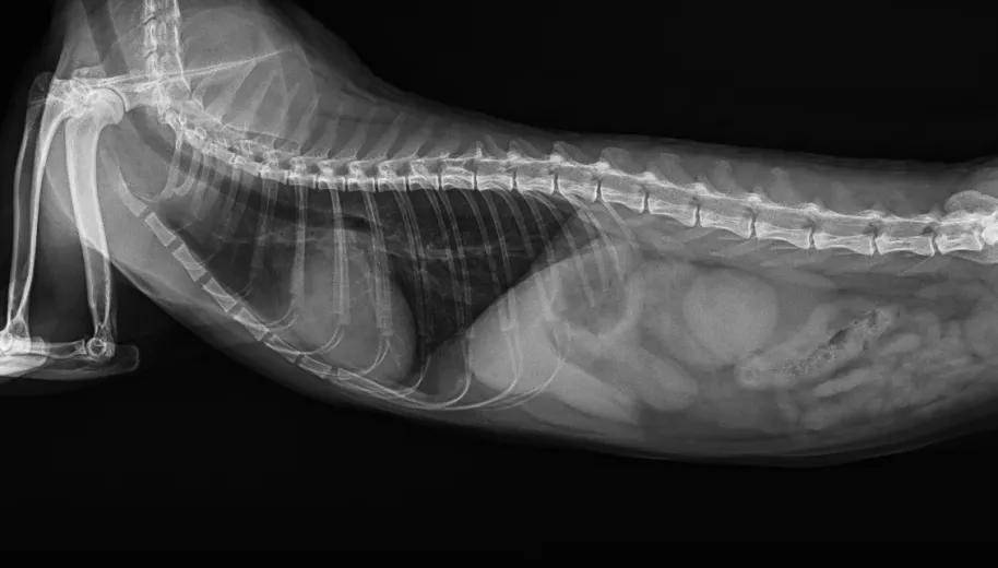
术后即时x光:胸腔腹腔已经分离 但是有气胸 肝脏血管的迁移危在旦夕躺
图片尺寸1080x1440
求助猫咪肺部阴影
图片尺寸1080x810
猫咪x光照片 求判断病情
图片尺寸1080x605
猫咪生病了求求成都或成都周边靠谱医院医生
图片尺寸647x751
各位爱猫的同志来看看我们家喵喵的x光片诊断一下
图片尺寸960x720
猫咪误食了绣花针,家长该怎么办?
图片尺寸292x481
讨论我来给猫做绝育手术术前检查发现它心脏大
图片尺寸1080x810
一只猫的胸部x光片
图片尺寸1200x882
看出来了心脏病,医生说听心率有点心脏病,拍了x光,说猫咪心脏比正常
图片尺寸1080x810
胸片1做完后医生说他的心脏很好很正常,没有hcm.
图片尺寸800x604
让医生听听心音,还可以加做个心脏超声(目前最好的检查手段方法),早点
图片尺寸580x532
求助求求各位救救我家的猫更新昨天猫猫已经在睡梦中突然走了
图片尺寸1080x1000
【讨论】求助有会看x光片的猫友吗
图片尺寸600x800
前天检查没有胸水,但是担心可能是心脏的问题,一直在查做心超靠谱的
图片尺寸611x800
猫咪x光
图片尺寸1080x1439
去了医院做了心超,心电图拍了x光,确诊了心肌肥厚,但不严重,厚度在6.
图片尺寸1080x810
布偶猫非常易患肥厚型心肌病,家长该如何预防和治疗?_心脏_检查_动脉
图片尺寸914x520