正常胃组织切片

胃底部的切片观察
图片尺寸1920x1296
【衡道丨干货】病理基础
图片尺寸846x740
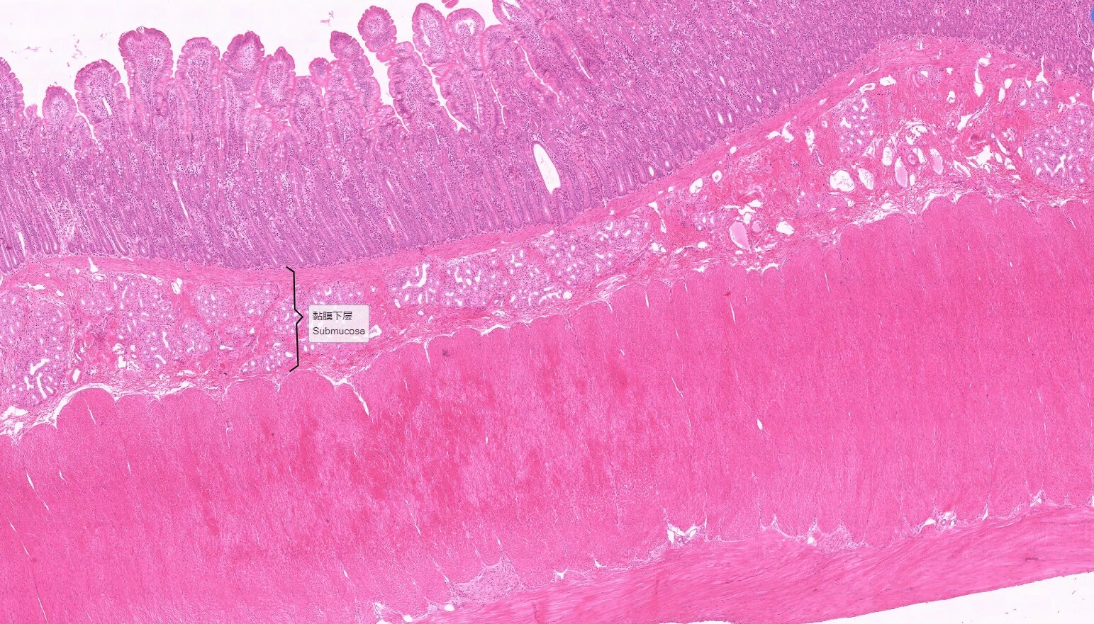
胃切片 上部为胃小凹 下部为胃底腺 胃底腺中较大嗜酸性细胞为壁细胞
图片尺寸1181x1280
胃黏膜切片及病理组织评分
图片尺寸3150x3457
【衡道丨干货】病理基础
图片尺寸846x771
【衡道丨干货】病理基础
图片尺寸846x652
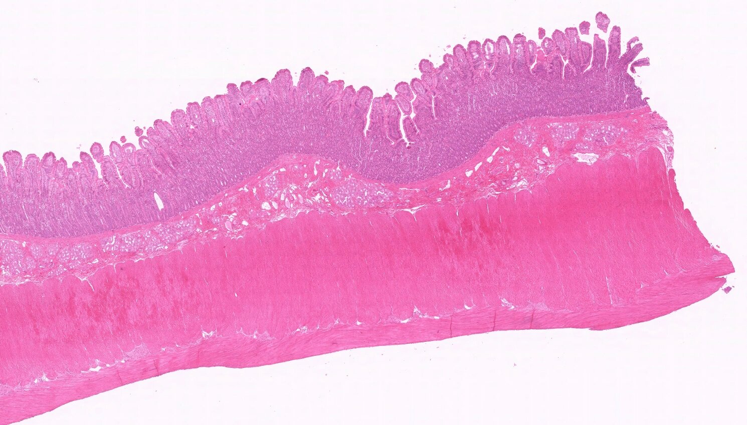
材料与方法:人十二指肠,zenker液固定,石蜡包埋,切片,he染色
图片尺寸1490x848
与胃幽门处的组织,经过zenker液固定,石蜡包埋,再制作成纵断面切片
图片尺寸1074x1074
胃早癌学习笔记1正常胃粘膜放大胃镜下的表现
图片尺寸606x460
胃
图片尺寸1080x810
胃壁正常组织学病理基础详解
图片尺寸846x677
胃粘膜组胚切片
图片尺寸1280x1706
显微镜下胃切片
图片尺寸1200x800
~胃组织镜检图,同学们可收藏学习#宠物医院 #
图片尺寸890x573
材料与方法:人十二指肠,zenker液固定,石蜡包埋,切片,he染色
图片尺寸1543x881
组织胚胎学切片考试准备答案ppt
图片尺寸1080x810
切片 正常胃,肠粘膜的对比
图片尺寸1080x810
显微镜下胃切片
图片尺寸1200x800
胃粘膜切面的特写
图片尺寸1200x798
胃黏膜:肠化→萎缩性胃炎→低级别上皮内瘤变,看这篇就
图片尺寸1080x1080